三重県桑名市・四日市市で矯正をするなら歌う歯医者の「はらだ先生」にご相談を!

〒511-0863 三重県桑名市新西方7丁目22番地
イオンタウン桑名新西方ショッピングセンター敷地内

診療時間
9:00~13:30 × × ×

15:00~18:00

× ×

(月・火・木)9:00〜13:30 /15 :00〜18:00

(金)14:30〜18:00

(土)9:00〜13:00/15:00〜18:00

休診日:水曜・日曜・祝日

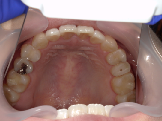
でこぼこの歯並びの矯正(叢生)(八重歯)

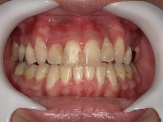
治療前

治療説明 歯科矯正でも目立ちにくい矯正方法であるマウスピース矯正で治療しました 
 
治療期間 2年
 
治療費用498000 円
 
 
 

治療後

治療の副作用(リスク)歯の動き方には個人差があり、予想された治療期間が延長する可能性があります。。マウスピースの使用状況、矯正歯科治療には患者さんの協力が必要であり、それらが治療結果や治療期間に影響します

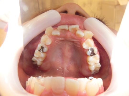
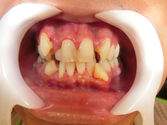
治療前

治療説明 歯科矯正でも目立ちにくい矯正方法であるマウスピース矯正で治療しました 
 
治療期間 1年9か月
 
治療費用498000 円
 
 
 

治療後

治療の副作用(リスク)歯の動き方には個人差があり、予想された治療期間が延長する可能性があります。。マウスピースの使用状況、矯正歯科治療には患者さんの協力が必要であり、それらが治療結果や治療期間に影響します

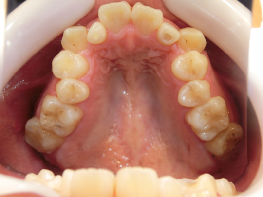
治療前

治療説明 歯科矯正でも目立ちにくい矯正方法であるマウスピース矯正で治療しました 
 
治療期間 2年6か月
 
治療費用498000 円
 
 
 

治療後

治療の副作用(リスク)歯の動き方には個人差があり、予想された治療期間が延長する可能性があります。。マウスピースの使用状況、矯正歯科治療には患者さんの協力が必要であり、それらが治療結果や治療期間に影響します

叢生(そうせい)とは
 
叢生とは、歯がきれいに並ぶためのスペースが足りず、前後や上下に重なって生えてしまう状態のことです。
いわゆる「デコボコの歯並び」や「八重歯」も叢生の一種です。
原因には、あごの大きさと歯の大きさのアンバランス、乳歯の早期脱落、遺伝的要因などがあります。
 
叢生をそのままにしておくと…
 
・歯みがきがしにくく、虫歯や歯周病になりやすい
・歯のすき間に汚れがたまり、口臭の原因になる
・噛み合わせのバランスが崩れ、顎関節に負担がかかる
・見た目の印象に影響する
 
✨叢生の治療法
 
叢生の程度や年齢によって、治療法はさまざまです。
・ワイヤー矯正:歯を1本ずつ正しい位置に並べる一般的な方法
・マウスピース矯正:透明な装置を使い、見た目に配慮した治療
・床矯正(小児期):成長期のお子さんに行う、あごを広げる治療
 
当院では、歯の状態・年齢・ご希望を丁寧にカウンセリングし、
患者さまに合った最適な矯正方法をご提案します。
 
お子さまの叢生について
 
お子さまの叢生は、早い時期にあごの成長をうながすことで、
将来の歯並びを整えやすくなります。
「乳歯がデコボコしている」「永久歯が入りきらないかも」
と感じたら、ぜひ早めにご相談ください。
 

料金表

マウスピース矯正(インビザライン等の可撤式矯正) 自由診療税込み198,000円~498,000円
永久歯列矯正
(成人矯正・2次矯正・中学生以降の矯正)
自由診療税込み198,000円~498,000円
小児矯正 自由診療税込み50,000円~350,000円
治療期間・回数 口腔内の状況や治療内容により異なります

                      矯正治療のリスク・副作用

歯の動き方には個人差があり、予想された治療期間が延長する可能性があります。

 

定期的な通院など、矯正歯科治療には患者さんの協力が必要であり、それらが治療結果や治療期間に影響します。

治療の経過によっては当初予定していた治療計画を変更する可能性があります。

保定装置の装着時間が十分確保できない場合、歯並びや、咬み合せの「後戻り」が生じる可能性があります。

マウスピース型矯正装置「製品名 インビザライン 完成物薬機法対象外」についての薬機法に関する説明

「インビザライン」という製品名のマウスピース矯正装置は、薬機法に定められる「医療機器および歯科技工士法上の矯正装置」、歯科技工士法での「矯正装置」ではありません。医薬品副作用被害救済制度の対象とならない可能性があります。

インビザラインのサポートソフトであるクリンチェックおよび光学スキャンに用いている口腔内スキャン装置iTero Elementは薬機法上の承認を得ています。

インビザライン・ジャパン株式会社より入手・利用しています。

マウスピース型矯正装置のメーカーは国内外に多数あります。「インビザライン」とは異なり薬機法の承認を得ている矯正装置があります。

歯科矯正が潜在的に持つリスク以外で「インビザライン」固有の重大な副作用の報告は受けておりません。薬機法(医薬品医療機器等法)においてまだ承認されていない医療機器となりますが、当院ではその有効性を認め、導入しています。

 

パソコン|モバイル
ページトップに戻る