三重県桑名市・四日市市で矯正をするなら歌う歯医者の「はらだ先生」にご相談を!

〒511-0863 三重県桑名市新西方7丁目22番地
イオンタウン桑名新西方ショッピングセンター敷地内

診療時間
9:00~13:30 × × ×

15:00~18:00

× ×

(月・火・木)9:00〜13:30 /15 :00〜18:00

(金)14:30〜18:00

(土)9:00〜13:00/15:00〜18:00

休診日:水曜・日曜・祝日

大人の矯正~インビザライン・アソアライナー~

当院が特に力を入れている矯正治療は、金属の装置を使わないマウスピース矯正です。ちなみに「インビザライン」は全世界で470万人(2017年現在)を超える治療実績があり、歯並びの改善効果も信頼できるマウスピース矯正です。

「マウスピース矯正」を19万8000円から

矯正治療に興味はあるけれど、以下のような理由でためらっている方はいませんか?

  • 矯正装置が口元でギラギラ目立つのが嫌
  • 矯正していることを誰にも知られたくない
  • 取り外しできる装置で気軽に矯正したいけれど、できるかどうか分からない
  • 矯正装置のせいで食事がしにくくなるのは嫌
  • 治療にかかる費用が高過ぎたら困る

このような理由から矯正治療をあきらめてしまう患者さまを一人でもたくさん助けたいという願いを込め、当院ではマウスピース矯正「インビザライン」を一般的な相場よりも費用を抑えた30万円からご提供しています。なるべく経済的な負担をかけず、美しい歯並びとより良い噛み合わせをぜひ手に入れてほしいという熱い思いで矯正治療を行っております。

またインビザライン以外のマウスピース矯正は19万8000円から提供しています。

もちろん、患者さまの状態に合わせて、マウスピース以外の治療法にも対応しています。どんなことでも、お気軽にご相談ください。

治療前

治療説明 歯科矯正でも目立ちにくい矯正方法であるマウスピース矯正で治療しました 
 
治療期間 2年6か月
 
治療費用498000 円
 
 
 

治療後

治療の副作用(リスク)歯の動き方には個人差があり、予想された治療期間が延長する可能性があります。。マウスピースの使用状況、矯正歯科治療には患者さんの協力が必要であり、それらが治療結果や治療期間に影響します

治療前

治療説明 歯科矯正でも目立ちにくい矯正方法であるマウスピース矯正で治療しました 
 
治療期間 2年1か月
 
治療費用498000 円
 
 
 

治療後

治療の副作用(リスク)歯の動き方には個人差があり、予想された治療期間が延長する可能性があります。。マウスピースの使用状況、矯正歯科治療には患者さんの協力が必要であり、それらが治療結果や治療期間に影響します

治療前

治療説明 歯科矯正でも目立ちにくい矯正方法であるマウスピース矯正で治療しました 
 
治療期間 2年6か月
 
治療費用498000 円
 
 
 

治療後

治療の副作用(リスク)歯の動き方には個人差があり、予想された治療期間が延長する可能性があります。。マウスピースの使用状況、矯正歯科治療には患者さんの協力が必要であり、それらが治療結果や治療期間に影響します

インビザライン「プラチナエリートドクター」の院長だから、さまざまな歯並びに対応できます

当院の院長は、インビザライン治療が日本で開始されて間もない2008年よりこの治療を始め、これまで1000件以上(※)の症例を手がけてきました。年間でトップクラスの症例数を手がけた歯科医師に贈られる「プラチナエリートドクター」に、表彰されております。

また、年に一度行われるインビザライン症例を数多く扱う全国の歯科医師が集まる「トップドクターミーティング」にも参加。2017年ももちろん参加し、より良い治療について議論してきました。日々進化する歯科医療を常に追い続け、患者さまに最良の治療をご提供したいと考えています。

プラチナドクター表彰楯

2017年トップドクターミーティング参加時

重度の歯並びの乱れにお悩みの方もご相談ください

マウスピース矯正は、マウスピースを作ってはめていれば勝手に治療が進むというものではありません。最初の検査・診断から、治療経過をきちんと踏まえたうえでの適切な判断と治療計画が重要です。患者さまのお口に合わせ、ご希望の歯並びに改善していくためには、診断と治療の精度を高めていく必要があるのです。

マウスピース矯正について、当院ではこれまで培ってきた技術、知識、経験で、患者さまのご希望にお応えいたします。重度の歯並びの乱れにお悩みの患者さまにも、マウスピース矯正で対応できるよう努めております。

「自分はマウスピース矯正は無理なのでは。」とお悩みの方も、まずは一度、当院にご相談ください。

3Dシミュレーションで、未来の歯並びを確認できる!

矯正治療を行う患者さまにとって、どんなふうに歯並びが改善されていくのか、最終的にどこまできれいになるのかという治療結果は、当然気になることでしょう。

当院のマウスピース矯正は、3D画像で治療の経過をシミュレーションして、患者さまご自身に確認していただくことができます。

自分の歯がどの時期にどのように変化するのか、いつ治療がゴールを迎えるのか、どれくらい歯並びがきれいになるのか……治療中に気になるそれらの情報を、すべて画像で模擬的に確認できます。「治療が終わるまで頑張ろう」という、患者さま自身のモチベーション維持にも、きっとつながるはず。頑張って治療を続けていきましょう。

シミュレーション実例

叢生(そうせい)といわれる前後がデコボコな状態

1年7ヶ月できれいになりました

治療説明 歯科矯正でも目立ちにくい矯正方法です。透明に近いマウスピース型の矯正装置(アライナー)のため、歯に装着しても目立つことなく歯並びを矯正することが出来ます。また、一人ひとりの合わせて矯正装置を作製いたします。 

治療期間 1年7か月

治療費用498000 円

治療の副作用(リスク)歯の動き方には個人差があり、予想された治療期間が延長する可能性があります。治療中は矯正歯科装置をつけるためハミガキを適切に行ってお口の中を常に清潔に保ち、さらに、かかりつけ歯科医に定期的に受診することが大切です。マウスピースの使用状況、定期的な通院など、矯正歯科治療には患者さんの協力が必要であり、それらが治療結果や治療期間に影響します。治療の経過によっては当初予定していた治療計画を変更する可能性があります。保定装置の装着時間が十分確保できない場合、歯並びや、咬み合せの「後戻り」が生じる可能性があります。

 

開咬(かいこう)で上下の前歯が離れている状態

1年1ヶ月できれいになりました

治療説明 歯科矯正でも目立ちにくい矯正方法です。透明に近いマウスピース型の矯正装置(アライナー)のため、歯に装着しても目立つことなく歯並びを矯正することが出来ます。また、一人ひとりの合わせて矯正装置を作製いたします。 
 
治療期間 1年1か月
 
治療費用498000 円
 
治療の副作用(リスク)歯の動き方には個人差があり、予想された治療期間が延長する可能性があります。治療中は矯正歯科装置をつけるためハミガキを適切に行ってお口の中を常に清潔に保ち、さらに、かかりつけ歯科医に定期的に受診することが大切です。マウスピースの使用状況、定期的な通院など、矯正歯科治療には患者さんの協力が必要であり、それらが治療結果や治療期間に影響します。治療の経過によっては当初予定していた治療計画を変更する可能性があります。保定装置の装着時間が十分確保できない場合、歯並びや、咬み合せの「後戻り」が生じる可能性があります。

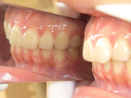
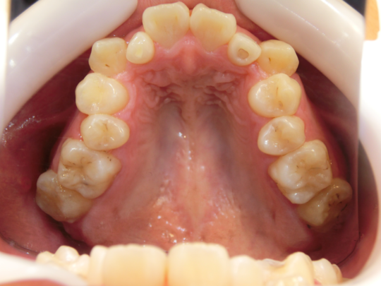
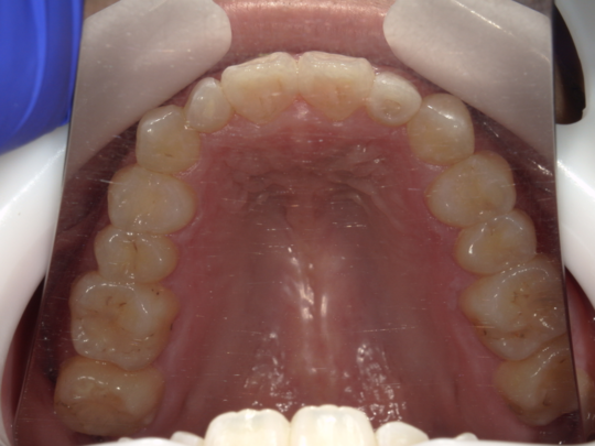
実例写真①

矯正前(上の歯)

矯正後(上の歯)

矯正前(下の歯)

矯正後(下の歯)

こちらの患者さまは、あごが小さいために前歯がきれいに並びきらず、「叢生(そうせい)」という前後がデコボコな歯並びでした。矯正後は、きれいに前歯が並んだだけではなく、上下の噛み合せも正しい位置に動き、しっかりと噛めるようになりました。

治療説明 歯科矯正でも目立ちにくい矯正方法です。透明に近いマウスピース型の矯正装置(アライナー)のため、歯に装着しても目立つことなく歯並びを矯正することが出来ます。また、一人ひとりの合わせて矯正装置を作製いたします。 

 

治療期間 11か月

 

治療費用498000 円

 

治療の副作用(リスク)歯の動き方には個人差があり、予想された治療期間が延長する可能性があります。治療中は矯正歯科装置をつけるためハミガキを適切に行ってお口の中を常に清潔に保ち、さらに、かかりつけ歯科医に定期的に受診することが大切です。マウスピースの使用状況、定期的な通院など、矯正歯科治療には患者さんの協力が必要であり、それらが治療結果や治療期間に影響します。治療の経過によっては当初予定していた治療計画を変更する可能性があります。保定装置の装着時間が十分確保できない場合、歯並びや、咬み合せの「後戻り」が生じる可能性があります

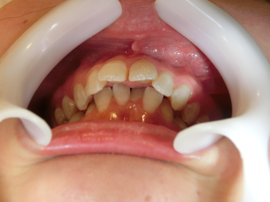
症例写真②

矯正前(正面)

矯正後(正面)

こちらの患者さまは、上下の前歯が離れていて、奥歯でしか噛めない「開咬(かいこう)」という状態でした。先天的な理由の場合もありますが、舌の癖や口呼吸などの悪い癖が原因でこのような歯並びになってしまいます。矯正後は、見た目が良くなっただけではなく、前歯でもしっかり食べ物を噛み切れるようになりました。

治療説明 歯科矯正でも目立ちにくい矯正方法です。透明に近いマウスピース型の矯正装置(アライナー)のため、歯に装着しても目立つことなく歯並びを矯正することが出来ます。また、一人ひとりの合わせて矯正装置を作製いたします。 

 

治療期間 1年1か月

 

治療費用498000 円

 

治療の副作用(リスク)歯の動き方には個人差があり、予想された治療期間が延長する可能性があります。治療中は矯正歯科装置をつけるためハミガキを適切に行ってお口の中を常に清潔に保ち、さらに、かかりつけ歯科医に定期的に受診することが大切です。マウスピースの使用状況、定期的な通院など、矯正歯科治療には患者さんの協力が必要であり、それらが治療結果や治療期間に影響します。治療の経過によっては当初予定していた治療計画を変更する可能性があります。保定装置の装着時間が十分確保できない場合、歯並びや、咬み合せの「後戻り」が生じる可能性があります。

  マウスピース矯正のメリット

クリックすると拡大します

これまでの矯正治療は、「金属の装置を歯に取りつけて行うもの」というイメージが強かったかもしれません。「矯正はしてみたいけれど、ギラギラした装置はちょっと・・・」「装置をつけたら、食事の制限や歯磨きも大変でしょ?」と治療に踏み切れない方もいるのでは。

しかし、当院ですすめるマウスピース矯正なら、ワイヤー矯正装置を使って行う治療のデメリットを、ほとんど解決して矯正治療を行うことが可能。なるべくストレスなく、矯正治療をおこなうことができます。

一般的なワイヤー矯正

マウスピース矯正

(インビザライン・アソアライナー)

口元が金属でギラギラと目立ってしまう 透明であるため、口元が目立たない
お口の中に違和感が残る ほとんど違和感がない
装置があたってしゃべりにくくなることも 普段どおりしゃべれる
歯磨きがしにくく、虫歯や歯周病のリスクが上がりやすい 取り外しができるため、普段通りに歯磨きができる
食べ物が装置に詰まりやすく、食事がしにくく制限もある 取り外しができるため、普段通りに食事ができる
装置がお口の中に当たって頬や唇などが傷つきやすい 取り外しができるため、頬や唇をむやみに傷つけない
金属アレルギーの方は治療できない 金属アレルギーの心配がない

マウスピース以外の矯正治療の種類

患者さまの歯並びやご希望に合わせて最適な方法をご提供できるよう、マウスピース矯正以外の治療方法もご用意しております。ご相談しながら、納得のいく矯正方法できれいな歯並びを目指しましょう!

ワイヤー矯正(表側矯正)

歯の表側に矯正装置をつけて行う治療です。主に金属の装置を用いますが、目立たない素材で作られた装置のご用意もできます。

慣れるまでは食事や歯磨きがしづらく、しゃべりにくさを感じます。

見えないワイヤー矯正(裏側矯正)

歯の裏側に矯正装置をつけて行う治療です。「リンガル矯正」とも呼ばれます。外側から装置が見えないので、目立ちません。

こちらも、慣れるまでは食事や歯磨きがしづらく、しゃべりにくさを感じます。

部分矯正・プチ矯正

「前歯の歯並びだけを治したい」など、全体ではなく部分的な矯正をお考えの方にご提案している治療方法です。軽い歯並びの乱れがある方におすすめです。

インプラント矯正

一時的に、矯正治療用のインプラントを入れ、矯正を進めていく方法です。治療期間を短く、歯を動かす方向を誘導しやすいといったメリットがあります。

スピード矯正(コルチトミー矯正)

「皮質骨骨切除(ひしつこつこつせつじょ)」とも呼ばれます。骨にわざとヒビを入れ、それを回復させるための力を利用。骨をより丈夫にして、歯を動きやすくします。矯正期間が短いなどのメリットがあります。

デーモンシステム

デーモンシステムはアメリカで開発された矯正方法です。通常のワイヤー矯正よりも精密な器具で、治療期間が短い、通院回数が少ない、痛みが少ない、抜歯の可能性が少ないといったメリットがあります。

矯正治療をご検討中の方へ

マウスピースを使った矯正「インビザライン」他をご提供。適切な診断と綿密な治療計画で、きれいな歯並びに導きます。

歯を抜かず、取り外し可能な装置で矯正を続けられるように配慮。豊富なプランの中から、最適な治療をご提案します。

当院の矯正治療について、ご来院から治療までの主な流れをご説明いたします。

院長の経歴や、患者さまへの思いなどをご紹介します。

精密な診断と治療をご提供するための設備をご用意。キッズスペースもあります。

料金表

マウスピース矯正(インビザライン等の可撤式矯正) 自由診療税込み198,000円~498,000円
永久歯列矯正
(成人矯正・2次矯正・中学生以降の矯正)
自由診療税込み198,000円~498,000円
小児矯正 自由診療税込み50,000円~350,000円
治療期間・回数 口腔内の状況や治療内容により異なります

                      矯正治療のリスク・副作用

歯の動き方には個人差があり、予想された治療期間が延長する可能性があります。

 

定期的な通院など、矯正歯科治療には患者さんの協力が必要であり、それらが治療結果や治療期間に影響します。

治療の経過によっては当初予定していた治療計画を変更する可能性があります。

保定装置の装着時間が十分確保できない場合、歯並びや、咬み合せの「後戻り」が生じる可能性があります。

マウスピース型矯正装置「製品名 インビザライン 完成物薬機法対象外」についての薬機法に関する説明

「インビザライン」という製品名のマウスピース矯正装置は、薬機法に定められる「医療機器および歯科技工士法上の矯正装置」、歯科技工士法での「矯正装置」ではありません。医薬品副作用被害救済制度の対象とならない可能性があります。

インビザラインのサポートソフトであるクリンチェックおよび光学スキャンに用いている口腔内スキャン装置iTero Elementは薬機法上の承認を得ています。

インビザライン・ジャパン株式会社より入手・利用しています。

マウスピース型矯正装置のメーカーは国内外に多数あります。「インビザライン」とは異なり薬機法の承認を得ている矯正装置があります。

歯科矯正が潜在的に持つリスク以外で「インビザライン」固有の重大な副作用の報告は受けておりません。薬機法(医薬品医療機器等法)においてまだ承認されていない医療機器となりますが、当院ではその有効性を認め、導入しています。

 

パソコン|モバイル
ページトップに戻る