三重県桑名市・四日市市で矯正をするなら歌う歯医者の「はらだ先生」にご相談を!

〒511-0863 三重県桑名市新西方7丁目22番地
イオンタウン桑名新西方ショッピングセンター敷地内

診療時間
9:00~13:30 × × ×

15:00~18:00

× ×

(月・火・木)9:00〜13:30 /15 :00〜18:00

(金)14:30〜18:00

(土)9:00〜13:00/15:00〜18:00

休診日:水曜・日曜・祝日

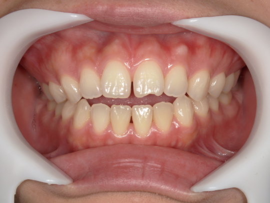
開咬の矯正

治療前

治療説明 歯科矯正でも目立ちにくい矯正方法であるマウスピース矯正で治療しました 
 
治療期間 1年1か月
 
治療費用498000 円
 
 
 

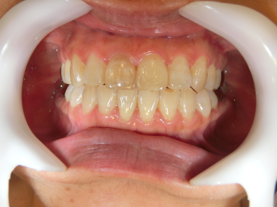
治療後

治療の副作用(リスク)歯の動き方には個人差があり、予想された治療期間が延長する可能性があります。。マウスピースの使用状況、矯正歯科治療には患者さんの協力が必要であり、それらが治療結果や治療期間に影響します

治療前

治療説明 歯科矯正でも目立ちにくい矯正方法であるマウスピース矯正で治療しました 
 
治療期間 1年3か月
 
治療費用498000 円
 
 
 

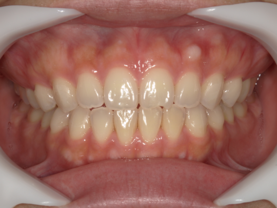
治療後

治療の副作用(リスク)歯の動き方には個人差があり、予想された治療期間が延長する可能性があります。。マウスピースの使用状況、矯正歯科治療には患者さんの協力が必要であり、それらが治療結果や治療期間に影響します

 
開口(かいこう)の矯正治療
 
「開口(かいこう)」とは、奥歯をかみ合わせても前歯が閉じず、すき間があいたままになる歯並びのことです。
「前歯で食べ物をかみ切れない」「発音がしにくい」「見た目が気になる」などの悩みを引き起こすことがあります。
放置すると、かみ合わせのバランスが崩れ、あごの関節にも負担がかかることがあります。
 
開口の主な原因
 
指しゃぶり・舌を前に押し出す癖(舌癖)
 
口呼吸や姿勢のくせ
 
遺伝的なあごの形・歯並び
 
歯列の発育バランスの乱れ
 
矯正治療の方法
 
開口は、矯正治療によって前歯をしっかり閉じるように整えることができます。
年齢や原因に応じて、最適な治療方法を選択します。
 
マウスピース矯正
 
透明なマウスピースを使って、歯を少しずつ動かしながら前歯のすき間を閉じていきます。
目立たずに治療でき、食事や歯みがきも普段どおりに行えます。
軽度〜中等度の開口に効果的です。
 
ワイヤー矯正
 
歯やあごの位置をより大きく動かす必要がある場合に行います。
上下の歯をバランスよく動かし、かみ合わせを改善します。
 
成長期のお子さんの場合
 
指しゃぶり・舌の癖などを改善するための習癖除去トレーニングや、
成長に合わせてあごの発育を促す**小児矯正(床矯正・拡大装置など)**を行うことがあります。
 
治療の流れ
 
精密検査・診断:歯列やかみ合わせ、癖の有無を詳しくチェック
 
治療計画の立案:マウスピース・ワイヤー・習癖改善を組み合わせた最適プランを提案
 
矯正治療開始:少しずつ歯を動かし、前歯が自然に閉じる位置へ調整
 
保定・経過観察:治療後の後戻りを防ぐため、保定装置(リテーナー)を使用
 
桑名はらだ歯科クリニックでは
 
開口は、見た目の改善だけでなく、しっかりかめる機能的な歯並びを目指して治療します。
原因(癖・骨格・歯並び)を正確に見極め、
マウスピース矯正や小児矯正など、患者さま一人ひとりに合わせた方法をご提案いたします。
 
お気軽にご相談ください。

料金表

マウスピース矯正(インビザライン等の可撤式矯正) 自由診療税込み198,000円~498,000円
永久歯列矯正
(成人矯正・2次矯正・中学生以降の矯正)
自由診療税込み198,000円~498,000円
小児矯正 自由診療税込み50,000円~350,000円
治療期間・回数 口腔内の状況や治療内容により異なります

                      矯正治療のリスク・副作用

歯の動き方には個人差があり、予想された治療期間が延長する可能性があります。

 

定期的な通院など、矯正歯科治療には患者さんの協力が必要であり、それらが治療結果や治療期間に影響します。

治療の経過によっては当初予定していた治療計画を変更する可能性があります。

保定装置の装着時間が十分確保できない場合、歯並びや、咬み合せの「後戻り」が生じる可能性があります。

マウスピース型矯正装置「製品名 インビザライン 完成物薬機法対象外」についての薬機法に関する説明

「インビザライン」という製品名のマウスピース矯正装置は、薬機法に定められる「医療機器および歯科技工士法上の矯正装置」、歯科技工士法での「矯正装置」ではありません。医薬品副作用被害救済制度の対象とならない可能性があります。

インビザラインのサポートソフトであるクリンチェックおよび光学スキャンに用いている口腔内スキャン装置iTero Elementは薬機法上の承認を得ています。

インビザライン・ジャパン株式会社より入手・利用しています。

マウスピース型矯正装置のメーカーは国内外に多数あります。「インビザライン」とは異なり薬機法の承認を得ている矯正装置があります。

歯科矯正が潜在的に持つリスク以外で「インビザライン」固有の重大な副作用の報告は受けておりません。薬機法(医薬品医療機器等法)においてまだ承認されていない医療機器となりますが、当院ではその有効性を認め、導入しています。

 

パソコン|モバイル
ページトップに戻る