三重県桑名市・四日市市で矯正をするなら歌う歯医者の「はらだ先生」にご相談を!
| 診療時間 | 月 | 火 | 水 | 木 | 金 | 土 | 日 |
|---|---|---|---|---|---|---|---|
| 9:00~13:30 | ○ | ○ | × | ○ | × | ○ | × |
| 15:00~18:00 | ○ | ○ | × | ○ | ○ | ○ | × |
(月・火・木)9:00〜13:30 /15 :00〜18:00
(金)14:30〜18:00
(土)9:00〜13:00/15:00〜18:00
休診日:水曜・日曜・祝日
※自費診療です
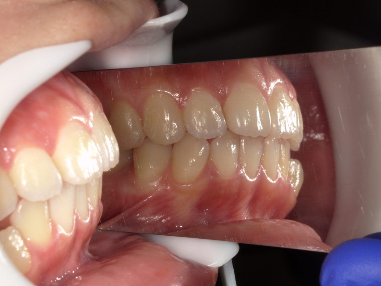
矯正前(横から見たところ)
矯正後(横から見たところ)
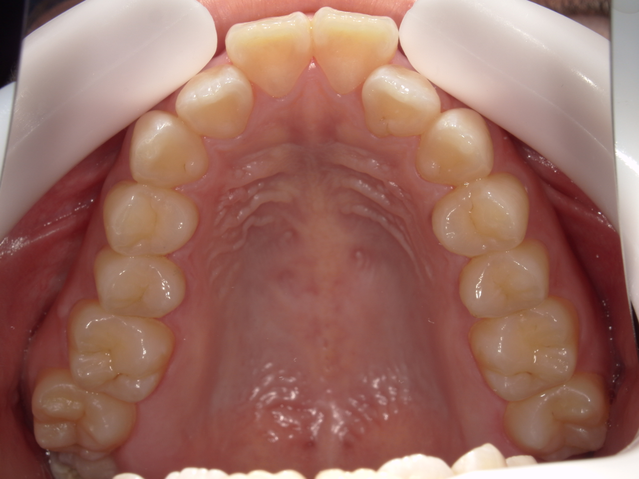
矯正前(上の歯)
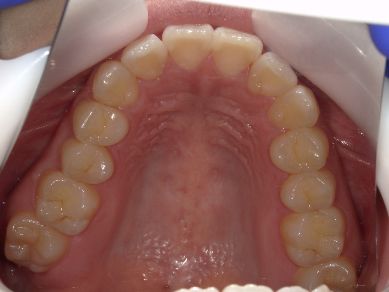
矯正後(上の歯)
治療説明 歯科矯正でも目立ちにくい矯正方法です。透明に近いマウスピース型の矯正装置(アライナー)のため、歯に装着しても目立つことなく歯並びを矯正することが出来ます。また、一人ひとりの合わせて矯正装置を作製いたします。
治療期間 7か月
治療費用300,000 円
治療の副作用(リスク)歯の動き方には個人差があり、予想された治療期間が延長する可能性があります。。マウスピースの使用状況、矯正歯科治療には患者さんの協力が必要であり、それらが治療結果や治療期間に影響します。
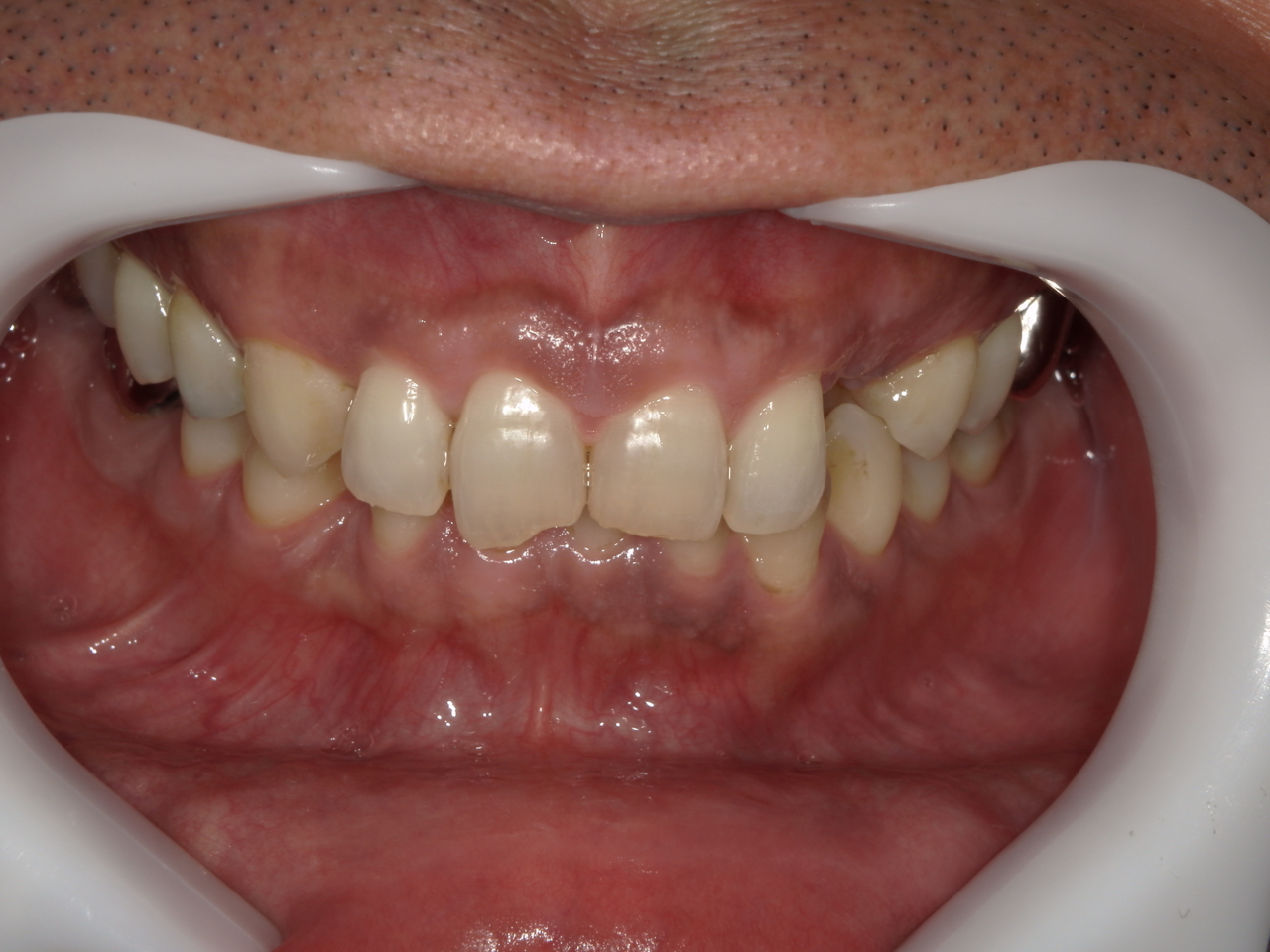
矯正前(正面)
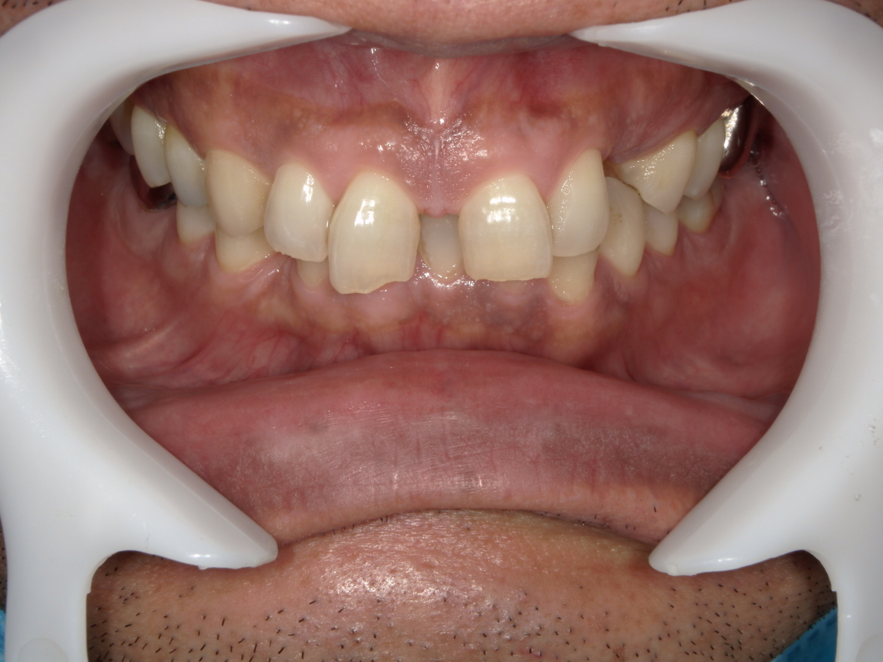
矯正後(正面)
治療説明 歯科矯正でも目立ちにくい矯正方法です。透明に近いマウスピース型の矯正装置(アライナー)のため、歯に装着しても目立つことなく歯並びを矯正することが出来ます。また、一人ひとりの合わせて矯正装置を作製いたします。
治療期間 7か月
治療費用300,000 円
治療の副作用(リスク)歯の動き方には個人差があり、予想された治療期間が延長する可能性があります。。マウスピースの使用状況、矯正歯科治療には患者さんの協力が必要であり、それらが治療結果や治療期間に影響します。
矯正治療を検討しているものの、費用面でためらっていらっしゃる方も少なくありません。そのような方にも不安なく治療を始めていただきたいと考え、デンタルローンによる分割払いを導入しております。
上下いずれかの前歯6本(犬歯~犬歯)の部分矯正治療は、約300,000円程度とリーズナブルな価格設定です。
さらにデンタルローンをご利用いただければ、月々3,000円位(120回払い)程度と、1回のお支払い額を抑えながら矯正治療のスタートが可能。また、月によって支払い額が変動しないのも嬉しいポイントではないでしょうか。
なおデンタルローンでお支払いの場合は、最初の6か月間は当院が金利を負担するため、よりお得に治療を始めていただけます。
その他にも、クレジットカードでのお支払いが可能です。
費用面のご負担が少しでも軽くなるように取り組むことで、1人でも多くの方に手軽に矯正を始めていただけたらと考えています。
矯正治療は高いからと諦めていた方も、リーズナブルな価格で治療を始められます。デンタルローンもご利用できますので、一度ご相談ください。
院長は、インビザラインが日本に導入されて間もない2008年から、この治療に携わっています。
その症例の数は多く、年間でもトップクラスの症例数を手がけた歯科医師として「プラチナエリートドクター」に認定されているほど。この認定は、年間実績の豊富さを認められた歯科医師のみが与えられる、大変名誉あるステータスです。
このようにインビザラインの経験豊富な院長が治療を担当する当院なら、より一層安心して治療を受けられるのではないでしょうか。
私どもでは前歯の「部分矯正」を行っています。
「部分矯正」とは気になっているところだけの歯並びを改善する方法で、すべての歯を矯正するよりも短期間で治療が完了します。そのため、手軽に治療を始めやすいのが特徴です。歯を全体的に動かす治療ではなく、痛みも少ないといったメリットがあります。
この「部分矯正」は、装置が目立たず取り外し可能なマウスピース矯正で行います。「以前に矯正治療を行ったものの歯の位置が元に戻ってしまった」とお悩みの方が、こちらで歯並びを整えられるケースも少なくありません。
また治療期間も7か月以内と、お口全体の矯正治療と比べて圧倒的に短い期間で完了します。
忙しい方でも気軽に始められるのも嬉しいポイントです。
できる限り患者さまのご負担が少なくなるように、治療を進めていきます。ご希望があればどうぞ遠慮なくお聞かせください。
歯を抜くことに抵抗があり、矯正治療をためらう方も多いでしょう。そうした方のお悩みに応えるべく、私どもはなるべく歯を抜かない「非抜歯矯正」を行っています。
ワイヤーなどを使った一般的な矯正治療では、歯を後ろへ動かすことが難しいとされています。そのため歯をキレイに並べるには、一旦歯を抜いてスペースを作らなければなりません。
その点マウスピース矯正は、歯を後ろに動かすことが得意なため、抜歯せずに歯並びを整えられる可能性が大きい治療です。どうしてもスペースが足りない場合は、問題が生じない範囲で歯のエナメル質を削り、歯をキレイに並べるためのスペースを確保します。そうすることで、できるだけ歯を抜かずに矯正が可能になるのです。
この微妙なサジ加減を必要とする繊細な処置が行えるのも、マウスピース矯正の経験が豊富な院長だからこそです。
当院は患者さまの大切な歯を残し、健康なお口が維持できるようお手伝いをいたします。「矯正治療を考えているが抜歯は嫌」そうためらっている方は、ぜひご相談ください。
※歯並びの状態によっては、抜歯をおすすめすることもあります。
矯正治療に関するお悩みやご不明点をしっかりと解決いただけるよう、前歯の「部分矯正」をご検討中の方に事前相談を実施しています。ご自身の歯並びでお悩みの方は、気軽にご利用ください。
まず気になっている歯並びや、理想の歯並びについてしっかりとヒアリング。その上で、前歯の「部分矯正」とはどのような治療なのか、どういった流れで治療を進めていくのかなどをご説明します。もちろん治療の流れやメリット・デメリットについても丁寧にご説明するため、必要な情報をふまえた上で治療を受けるか決めていただきやすいでしょう。
事前相談を受けたからといって、必ず矯正治療を始めていただく必要はありません。患者さまにご納得いただくことがまずは重要で、治療を始めるかはその後だと考えております。 事前に相談しておけば、もし治療が始まっても「何をされているかわからない」といった不安を感じにくくなるでしょう。
ご不明点をしっかりと解決いただけるように、丁寧なヒアリングとご説明を心がけています。どうぞお気軽にお問合せください。
治療名:部分矯正
治療の説明:主に前歯など気になる部分のみに矯正装置をつけて歯を並べる治療法です。
治療期間・回数:7ヶ月
リスクや副作用:)歯の動き方には個人差があり、予想された治療期間が延長する可能性があります。。マウスピースの使用状況、矯正歯科治療には患者さんの協力が必要であり、それらが治療結果や治療期間に影響します。
費用:300,000円(税込)
治療名:リテーナー(保定装置)
治療の説明:矯正治療後の歯の後戻りを防ぐための装置です
治療期間・回数:7ヶ月
治療のリスクや副作用:装置が破損することがあります
費用:片顎:14,000円(税込)
| マウスピース矯正(インビザライン等の可撤式矯正) | 自由診療税込み198,000円~498,000円 |
|---|
| 永久歯列矯正 (成人矯正・2次矯正・中学生以降の矯正) | 自由診療税込み198,000円~498,000円 |
|---|
| 小児矯正 | 自由診療税込み50,000円~350,000円 |
|---|
| 治療期間・回数 | 口腔内の状況や治療内容により異なります |
|---|
矯正治療のリスク・副作用
歯の動き方には個人差があり、予想された治療期間が延長する可能性があります。
定期的な通院など、矯正歯科治療には患者さんの協力が必要であり、それらが治療結果や治療期間に影響します。
治療の経過によっては当初予定していた治療計画を変更する可能性があります。
保定装置の装着時間が十分確保できない場合、歯並びや、咬み合せの「後戻り」が生じる可能性があります。
マウスピース型矯正装置「製品名 インビザライン 完成物薬機法対象外」についての薬機法に関する説明
「インビザライン」という製品名のマウスピース矯正装置は、薬機法に定められる「医療機器および歯科技工士法上の矯正装置」、歯科技工士法での「矯正装置」ではありません。医薬品副作用被害救済制度の対象とならない可能性があります。
インビザラインのサポートソフトであるクリンチェックおよび光学スキャンに用いている口腔内スキャン装置iTero Elementは薬機法上の承認を得ています。
インビザライン・ジャパン株式会社より入手・利用しています。
マウスピース型矯正装置のメーカーは国内外に多数あります。「インビザライン」とは異なり薬機法の承認を得ている矯正装置があります。
歯科矯正が潜在的に持つリスク以外で「インビザライン」固有の重大な副作用の報告は受けておりません。薬機法(医薬品医療機器等法)においてまだ承認されていない医療機器となりますが、当院ではその有効性を認め、導入しています。
| 月 | 火 | 水 | 木 | 金 | 土 | 日 | |
|---|---|---|---|---|---|---|---|
| 午前 | ○ | ○ | × | ○ | × | ○ | × |
| 午後 | ○ | × | × | ○ | ○ | ○ | × |
(月火木)9:00~13:30/15:00~
18:30
(金)13:00~17:30
(土)9:00~13:30/15:00~18:00