三重県桑名市・四日市市で矯正をするなら歌う歯医者の「はらだ先生」にご相談を!

〒511-0863 三重県桑名市新西方7丁目22番地
イオンタウン桑名新西方ショッピングセンター敷地内

診療時間
9:00~13:30 × × ×

15:00~18:00

× ×

(月・火・木)9:00〜13:30 /15 :00〜18:00

(金)14:30〜18:00

(土)9:00〜13:00/15:00〜18:00

休診日:水曜・日曜・祝日

ご予約・お問合せはこちら

0594-27-5454

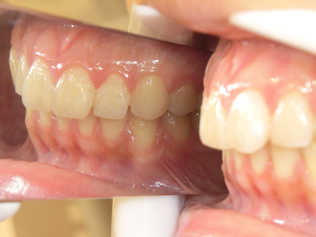
出っ歯の矯正(上顎前突)

治療前

治療説明 歯科矯正でも目立ちにくい矯正方法であるマウスピース矯正で治療しました 
 
治療期間 2年1か月
 
治療費用49,8000 円
 
 
 

治療後

治療の副作用(リスク)歯の動き方には個人差があり、予想された治療期間が延長する可能性があります。。マウスピースの使用状況、矯正歯科治療には患者さんの協力が必要であり、それらが治療結果や治療期間に影響します

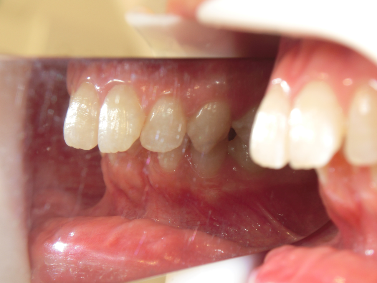
治療前

治療説明 歯科矯正でも目立ちにくい矯正方法であるマウスピース矯正で治療しました 
 
治療期間 2年6か月
 
治療費用49,8000 円
 
 
 

治療後

治療の副作用(リスク)歯の動き方には個人差があり、予想された治療期間が延長する可能性があります。。マウスピースの使用状況、矯正歯科治療には患者さんの協力が必要であり、それらが治療結果や治療期間に影響します

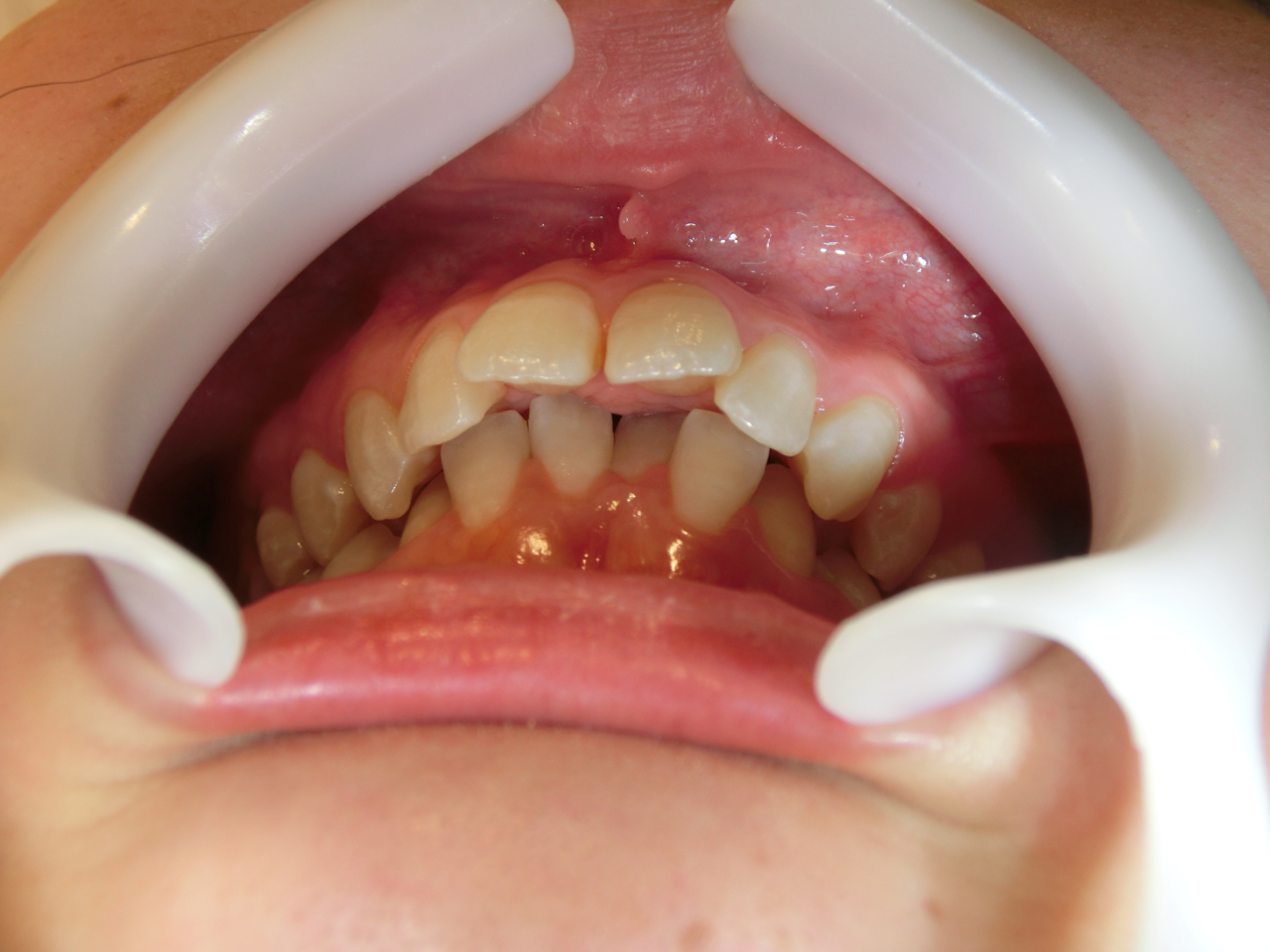
治療前

治療説明 歯科矯正でも目立ちにくい矯正方法であるマウスピース矯正で治療しました 
 
治療期間 2年6か月
 
治療費用49,8000 円
 
 
 

治療後

治療の副作用(リスク)歯の動き方には個人差があり、予想された治療期間が延長する可能性があります。。マウスピースの使用状況、矯正歯科治療には患者さんの協力が必要であり、それらが治療結果や治療期間に影響します

【出っ歯とは】

 

上の前歯や上あごが前に出ている状態を「出っ歯(上顎前突)」といいます。

「口が閉じにくい」「前歯で物が咬みにくい」「横顔のバランスが気になる」など、

見た目だけでなく機能面でもさまざまな影響があります。

【主な原因】

・上あごの骨格が前に出ている

・前歯が前方へ傾いている

・指しゃぶりや舌の押し出し癖

・遺伝的な要因

歯だけでなく骨格的な要素も関係しているため、

正確な診断が大切です。

【治療方法】

出っ歯の程度や原因によって最適な治療法は異なります。

● マウスピース矯正(インビザラインなど)

透明で目立ちにくく、食事や歯みがきのときは取り外し可能。

軽度〜中等度の出っ歯に対応できます。

● ワイヤー矯正(表側・裏側)

歯の動きを精密にコントロールし、より大きなズレにも対応。

裏側矯正なら目立たずに治療できます。

● 外科的矯正(骨格性上顎前突)

骨格そのものにずれがある場合、

大学病院や専門医と連携して手術を併用することもあります。

【治療の流れ】

 

1️⃣ カウンセリング(お悩み・ご希望の確認)

2️⃣ 精密検査(レントゲン・口腔内スキャン)

3️⃣ 治療計画のご説明

4️⃣ 矯正装置の装着・調整

5️⃣ 保定期間(後戻り防止)

【治療のメリット】

 

横顔の印象が自然で美しくなる

前歯でしっかり咬めるようになる

発音・口呼吸の改善につながる

口元が引き締まり、自信のある笑顔に

【桑名はらだ歯科クリニックの特徴】

 

当院では、**「見た目+機能+長期安定」**を大切にした矯正治療を行っています。

iteroによる3D解析やCT診断を組み合わせ、

お一人おひとりに合わせた治療計画をご提案します。

料金表

マウスピース矯正(インビザライン等の可撤式矯正) 自由診療税込み198,000円~498,000円
永久歯列矯正
(成人矯正・2次矯正・中学生以降の矯正)
自由診療税込み198,000円~498,000円
小児矯正 自由診療税込み50,000円~350,000円
治療期間・回数 口腔内の状況や治療内容により異なります

                      矯正治療のリスク・副作用

歯の動き方には個人差があり、予想された治療期間が延長する可能性があります。

治療中は矯正歯科装置をつけるためハミガキを適切に行ってお口の中を常に清潔に保ち、さらに、かかりつけ歯科医に定期的に受診することが大切です。

マウスピースの使用状況、定期的な通院など、矯正歯科治療には患者さんの協力が必要であり、それらが治療結果や治療期間に影響します。

治療の経過によっては当初予定していた治療計画を変更する可能性があります。

保定装置の装着時間が十分確保できない場合、歯並びや、咬み合せの「後戻り」が生じる可能性があります。

マウスピース型矯正装置「製品名 インビザライン 完成物薬機法対象外」についての薬機法に関する説明

「インビザライン」という製品名のマウスピース矯正装置は、薬機法に定められる「医療機器および歯科技工士法上の矯正装置」、歯科技工士法での「矯正装置」ではありません。医薬品副作用被害救済制度の対象とならない可能性があります。

インビザラインのサポートソフトであるクリンチェックおよび光学スキャンに用いている口腔内スキャン装置iTero Elementは薬機法上の承認を得ています。

インビザライン・ジャパン株式会社より入手・利用しています。

マウスピース型矯正装置のメーカーは国内外に多数あります。「インビザライン」とは異なり薬機法の承認を得ている矯正装置があります。

歯科矯正が潜在的に持つリスク以外で「インビザライン」固有の重大な副作用の報告は受けておりません。薬機法(医薬品医療機器等法)においてまだ承認されていない医療機器となりますが、当院ではその有効性を認め、導入しています。

 

当院では矯正歯科治療でお悩みの方へ無料矯正相談を行っています。お電話かご予約フォームよりお気軽にご連絡ください。

0594-27-5454

診療時間

 
午前 × × ×
午後 × × ×

(月火木)9:00~13:30/15:00~
18:30
(金)13:00~17:30
(土)9:00~13:30/15:00~18:00

0594-27-5454

511-0863

三重県桑名市新西方7丁目22番地
(イオンタウン桑名新西方ショッピングセンター敷地内)