三重県桑名市・四日市市で矯正をするなら歌う歯医者の「はらだ先生」にご相談を!

〒511-0863 三重県桑名市新西方7丁目22番地
イオンタウン桑名新西方ショッピングセンター敷地内

診療時間
9:00~13:30 × × ×

15:00~18:00

× ×

(月・火・木)9:00〜13:30 /15 :00〜18:00

(金)14:30〜18:00

(土)9:00〜13:00/15:00〜18:00

休診日:水曜・日曜・祝日

ご予約・お問合せはこちら

0594-27-5454

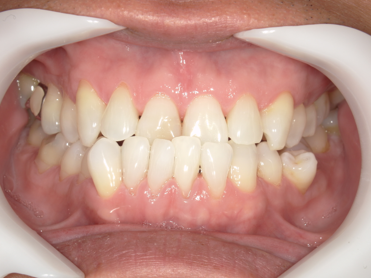
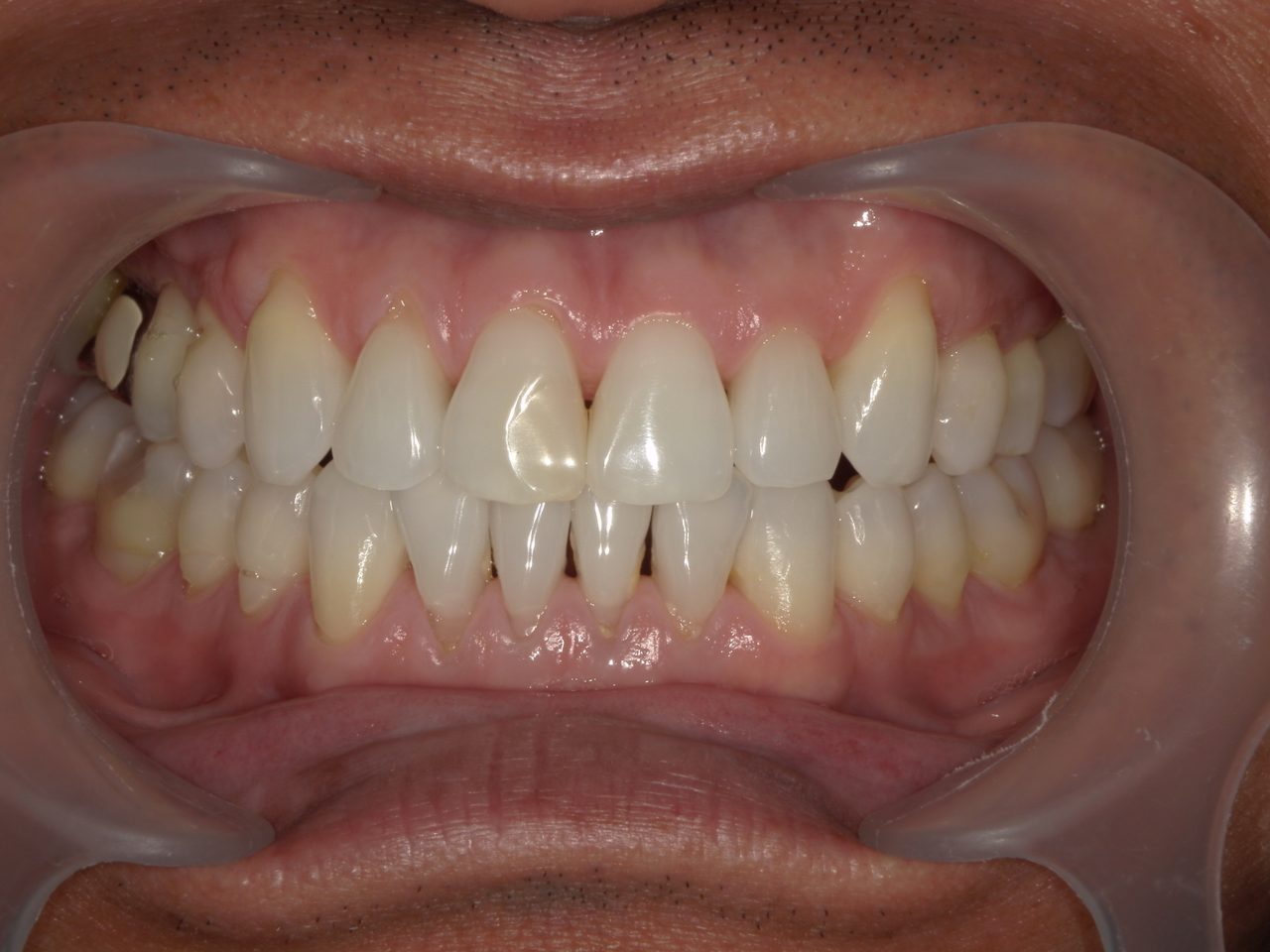
受け口の矯正(下顎前突)

治療前

治療説明 歯科矯正でも目立ちにくい矯正方法であるマウスピース矯正で治療しました 
 
治療期間 1年8か月
 
治療費用49,8000 円
 
 
 

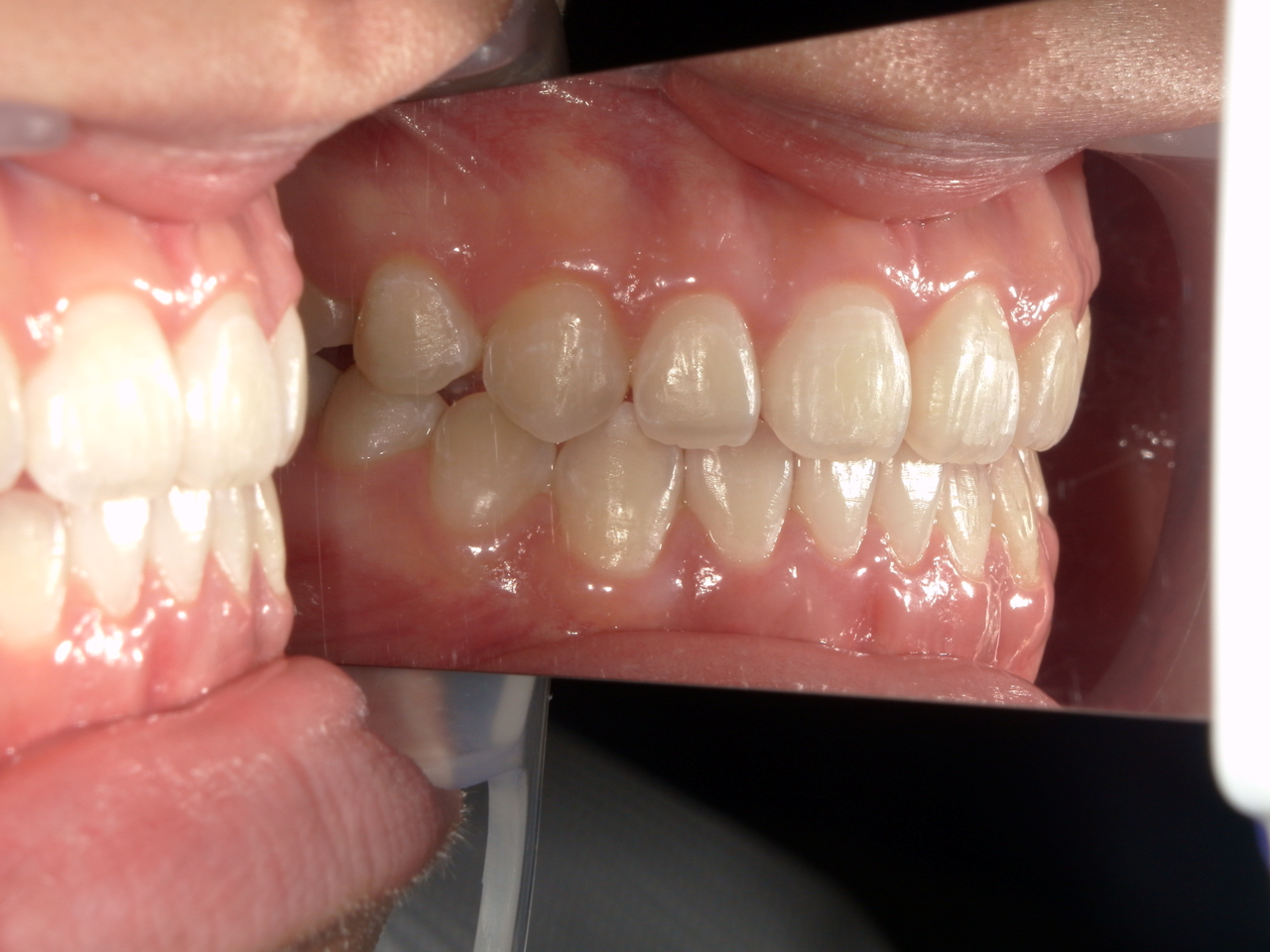
治療後

治療の副作用(リスク)歯の動き方には個人差があり、予想された治療期間が延長する可能性があります。。マウスピースの使用状況、矯正歯科治療には患者さんの協力が必要であり、それらが治療結果や治療期間に影響します

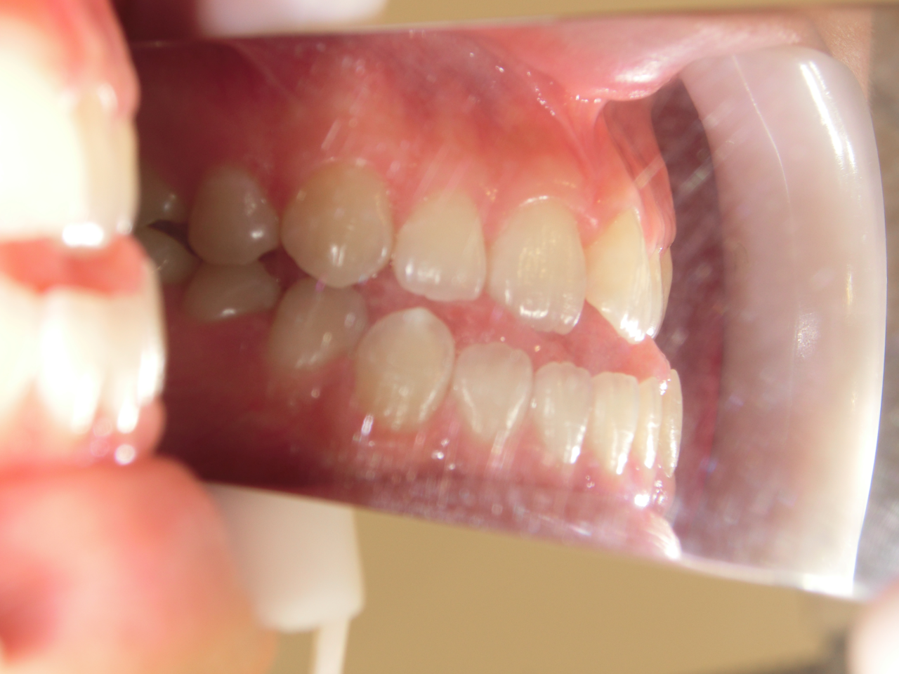
治療前

治療説明 歯科矯正でも目立ちにくい矯正方法であるマウスピース矯正で治療しました 
 
治療期間 1年7か月
 
治療費用49,8000 円
 
 
 

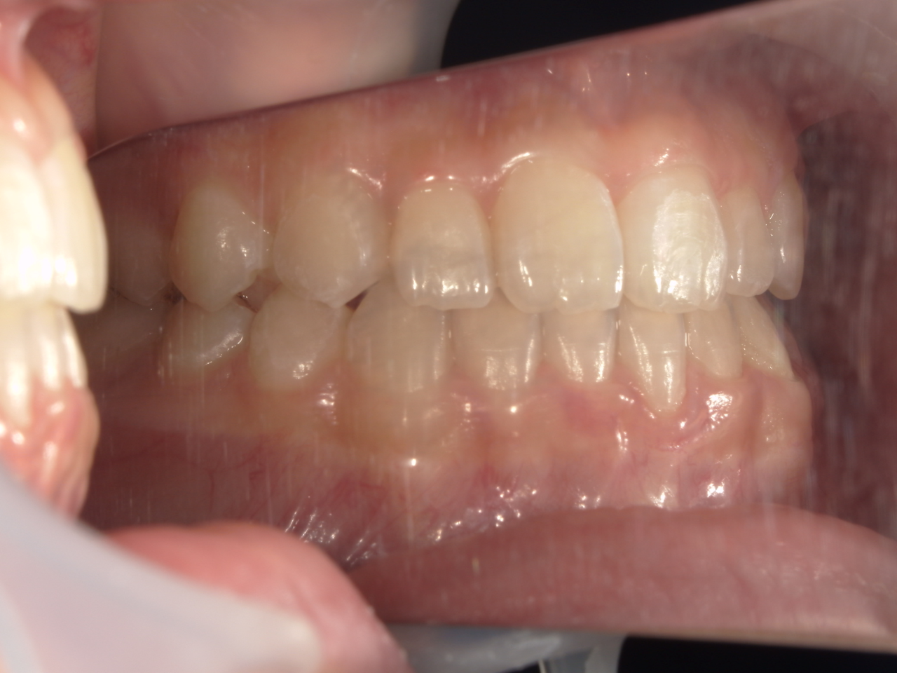
治療後

治療の副作用(リスク)歯の動き方には個人差があり、予想された治療期間が延長する可能性があります。。マウスピースの使用状況、矯正歯科治療には患者さんの協力が必要であり、それらが治療結果や治療期間に影響します

治療前

治療説明 歯科矯正でも目立ちにくい矯正方法であるマウスピース矯正で治療しました 
 
治療期間 5か月
 
治療費用49,8000 円
 
 
 

治療後

治療の副作用(リスク)歯の動き方には個人差があり、予想された治療期間が延長する可能性があります。。マウスピースの使用状況、矯正歯科治療には患者さんの協力が必要であり、それらが治療結果や治療期間に影響します

1.受け口(反対咬合)とは
 
下あごの歯が上の歯より前に出ている咬み合わせを「受け口(反対咬合)」といいます。
見た目だけでなく、発音・咀嚼(そしゃく)・あごの成長にも影響を与えることがあります。
早期発見と適切な治療で、バランスのとれた口元を目指しましょう。
 
 
 
2.子どもの受け口治療(成長期)
 
成長期には、あごの発育を利用した早期治療が効果的です。
ムーシールドやプレオルソなどのマウスピース型装置を使用し、
舌の位置や口まわりの筋肉バランスを整えながら、自然なかみ合わせへ導きます。
 
特徴
 
痛みが少なく取り外し可能
 
寝るとき中心の装着で負担が少ない
 
顎の成長をコントロールしやすい
 
将来の本格矯正を軽減できる
 
 
 
3.大人の受け口治療(永久歯列)
 
大人の場合は成長が止まっているため、
**ワイヤー矯正やマウスピース矯正(インビザラインなど)**で歯を正しい位置に動かします。
かみ合わせや顎関節のバランスも考慮し、顔全体の調和を大切に治療を進めます。
 
主な方法
 
表側ワイヤー矯正
 
透明で目立ちにくいマウスピース矯正
 
 
 
 
 
4.受け口を放置すると…
 
発音しづらい(「さ行」「た行」など)
 
前歯で噛み切れない
 
下あごが出て見える・顔が長く見える
 
顎関節症や歯の摩耗の原因になることも
 
 
 
5.まずはお気軽にご相談ください
 
受け口の原因や程度は人によって異なります。
桑名はらだ歯科クリニックでは、お口のバランス・あごの動き・生活習慣まで含めたトータル診断を行い、
お子さまから大人の方まで、それぞれに最適な治療プランをご提案いたします。
 
 

料金表

マウスピース矯正(インビザライン等の可撤式矯正) 自由診療税込み198,000円~498,000円
永久歯列矯正
(成人矯正・2次矯正・中学生以降の矯正)
自由診療税込み198,000円~498,000円
小児矯正 自由診療税込み50,000円~350,000円
治療期間・回数 口腔内の状況や治療内容により異なります

                      矯正治療のリスク・副作用

歯の動き方には個人差があり、予想された治療期間が延長する可能性があります。

治療中は矯正歯科装置をつけるためハミガキを適切に行ってお口の中を常に清潔に保ち、さらに、かかりつけ歯科医に定期的に受診することが大切です。

マウスピースの使用状況、定期的な通院など、矯正歯科治療には患者さんの協力が必要であり、それらが治療結果や治療期間に影響します。

治療の経過によっては当初予定していた治療計画を変更する可能性があります。

保定装置の装着時間が十分確保できない場合、歯並びや、咬み合せの「後戻り」が生じる可能性があります。

マウスピース型矯正装置「製品名 インビザライン 完成物薬機法対象外」についての薬機法に関する説明

「インビザライン」という製品名のマウスピース矯正装置は、薬機法に定められる「医療機器および歯科技工士法上の矯正装置」、歯科技工士法での「矯正装置」ではありません。医薬品副作用被害救済制度の対象とならない可能性があります。

インビザラインのサポートソフトであるクリンチェックおよび光学スキャンに用いている口腔内スキャン装置iTero Elementは薬機法上の承認を得ています。

インビザライン・ジャパン株式会社より入手・利用しています。

マウスピース型矯正装置のメーカーは国内外に多数あります。「インビザライン」とは異なり薬機法の承認を得ている矯正装置があります。

歯科矯正が潜在的に持つリスク以外で「インビザライン」固有の重大な副作用の報告は受けておりません。薬機法(医薬品医療機器等法)においてまだ承認されていない医療機器となりますが、当院ではその有効性を認め、導入しています。

 

当院では矯正歯科治療でお悩みの方へ無料矯正相談を行っています。お電話かご予約フォームよりお気軽にご連絡ください。

0594-27-5454

診療時間

 
午前 × × ×
午後 × × ×

(月火木)9:00~13:30/15:00~
18:30
(金)13:00~17:30
(土)9:00~13:30/15:00~18:00

0594-27-5454

511-0863

三重県桑名市新西方7丁目22番地
(イオンタウン桑名新西方ショッピングセンター敷地内)