三重県桑名市・四日市市で矯正をするなら歌う歯医者の「はらだ先生」にご相談を!

〒511-0863 三重県桑名市新西方7丁目22番地
イオンタウン桑名新西方ショッピングセンター敷地内

診療時間
9:00~13:30 × × ×

15:00~18:00

× ×

(月・火・木)9:00〜13:30 /15 :00〜18:00

(金)14:30〜18:00

(土)9:00〜13:00/15:00〜18:00

休診日:水曜・日曜・祝日

ご予約・お問合せはこちら

0594-27-5454

こどもの透明マウスピース矯正(インビザライン・ファースト)

※自費診療です

小児矯正経験21年以上の院長が担当

院長は小児矯正の経験が24年以上(※)あります。インビザライン矯正に関しては、日本に導入されて間もない2008年から携わり、インビザライン「プラチナエリートドクター」に認定されるほどの豊富な症例数を持つ歯科医師です。

小児矯正・インビザライン矯正の両方に精通している院長だからこそ、親御さまは納得してお子さまの「インビザラインファースト(小児用マウスピース矯正)」による治療をお任せいただけると思います。

なお、お子さまの成長過程に合わせたタイミングで矯正をご提案いたしますので、お子さまの歯並びでお悩みがありましたら、どうぞお気軽にお問合せください。

※2025年現在

短期間で綺麗な歯並びを目指せる

従来の小児矯正で用いられている床矯正では、あごの骨の拡大のみで歯を並べることはできませんでした。

その点「インビザラインファースト(小児用マウスピース矯正)」は、あごの骨を広げながら歯並びも整えることが可能です。

一般的に小児矯正は、あごの骨を広げる1期治療の後、通常の矯正装置をつける2期治療に移行することが多い治療です。

しかしインビザラインファーストの場合は、あごの骨を広げて大人の歯が生えるスペースを確保しながら、同時に歯並びを綺麗に整えられます。よってインビザラインファーストのみで矯正が完了する例も多くあります。

このような面からも、費用面やお子さまへの負担を大幅に抑えた矯正治療が可能と言えるでしょう。まずは一度、事前相談にお越しいただければと思います。

歯磨きや虫歯治療がしやすい

「インビザラインファースト(小児用マウスピース矯正)」はマウスピースを使用する矯正方法です。ワイヤーなどを使用した複雑な矯正装置を歯へつけずに済むため、食べ物が装置の隙間に挟まることもなく、結果的に虫歯の予防がしやすくなります。

マウスピースは従来の矯正とは違い取り外しできるため、いつも通り歯磨きができます。ご自宅での仕上げ磨きもしやすく、今まで通りのケアを行いながらの矯正が可能です。

万一、虫歯治療が必要になった場合でもマウスピースを外すだけで治療できます。

また当院では矯正だけでなく、虫歯の治療からクリーニングまで全てを行えます。

このように矯正や虫歯治療、予防から治療後のメインテナンスまでトータルにサポートできるのも、私どもの魅力です。

目立たない・痛みの少ないマウスピース矯正

当院では6~10歳前後のお子さまを対象に「インビザラインファースト(小児用マウスピース矯正)」を行っています。多感な時期のお子さまたちにとって、従来の矯正装置は見た目が気になり、心地よいものではないでしょう。

しかしインビザラインファーストなら、透明なマウスピース装置のため従来に比べて目立ちません。装置が嫌で矯正治療に前向きになれなかったお子さまでも、見た目を気にせず歯並びを改善できるおすすめの方法です。

また従来の矯正治療に比べ、痛みも少なく治療期間が短く済みます。さらに食事中や歯磨きの際はマウスピース装置を取り外せるなど、様々な面でお子さまの精神的負担の軽い矯正治療です。

3D光学スキャナー「iTero(アイテロ)」で負担の少ない型どり

インビザライン治療を行う全ての患者さまに、「iTero(アイテロ)」を使用した型どりを行っています。これはお口の中をスキャン(撮影)する型どりの装置です。

従来の型どりは粘土のような材料を使用していたため、苦しい思いをされたお子さまも少なくないでしょう。

マウスピース矯正は、一人ひとりのお口にフィットするマウスピースを作製する必要があるため、精密な型どりが必須です。

iTeroを導入している私どもなら、患者さまにとって負担の少ない、快適かつ精密な型どりを行えます。

お子さまにとって矯正期間が少しでも快適な経験になればと願い、iTeroを使っているのです。

デンタルローン利用で月々3,000円〜

お子さまのために矯正治療を検討しているものの、費用面でためらっていらっしゃる方も少なくありません。

そのような心配をお抱えの方にも、不安なく治療を始めていただきたいと考え、デンタルローンによる分割払いを導入しております。

私どもでは350,000円で「インビザラインファースト(小児用マウスピース矯正)」を行っており、さらにデンタルローンをご利用いただければ、月々約3,500円(120回払い)のご負担額です。経済的な事情を考慮したマウスピース矯正治療が可能と言えるでしょう。

月によって支払い額が変動しないのはもちろん、デンタルローンでお支払いの場合は、最初の6か月間は当院が金利を負担。そのため、よりお得に治療を始められるのではないでしょうか。

また、クレジットカードでのお支払いも可能です。

治療費に対する患者さまのご負担が少しでも軽くなるよう取り組んでいます。それは一人でも多くのお子さまに向け、矯正治療のサポートを行っていきたいと日々考えているからに他なりません。

事前相談で疑問や悩みを解決

矯正治療に関するお悩みやご不明点をしっかりと解決いただけるよう、「インビザラインファースト(小児用マウスピース矯正)」をご検討中の方に事前相談を実施しています。お子さまの歯並びについての疑問やご不安など、この機会にぜひご相談ください。

まず、気になっている歯並びや理想の歯並びについてしっかりとヒアリングいたします。その上でインビザラインファーストとはどのような治療なのか、どういった流れで治療を進めていくのかなどのご説明をする流れです。もちろん、治療の流れやメリット・デメリットについても丁寧にお伝えするため、必要な情報をふまえて治療を受けるか決めていただきやすいでしょう。

事前相談を受けたからといって、必ずインビザラインファーストを開始いただく必要はありません。お子さまと親御さまの納得こそが一番大事で、治療を始めるかはその後です。事前に相談しておけば、もし治療が始まっても「何をされているかわからない」といった不安を感じにくくなると思います。

ご不明点をしっかりと解決いただけるよう、丁寧なヒアリングとご説明を心がけておりますので、どうぞお気軽にお問合せください。

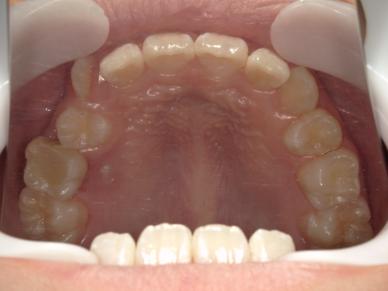
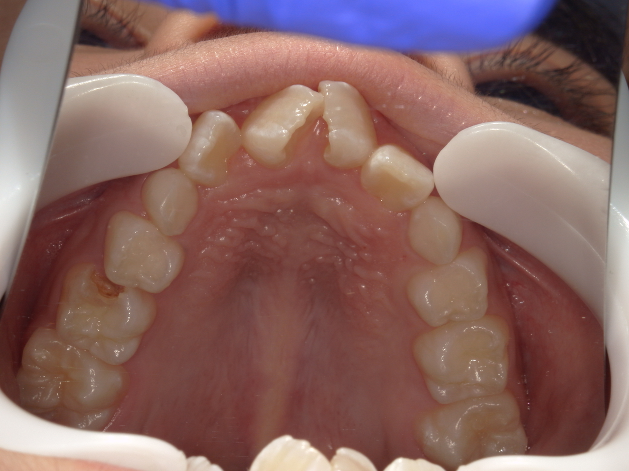
治療前

治療説明 歯科矯正でも目立ちにくい矯正方法であるマウスピース矯正で治療しました 
 
治療期間 1年1か月
 
治療費用350000 円
 
 
 

治療後

治療の副作用(リスク)歯の動き方には個人差があり、予想された治療期間が延長する可能性があります。。マウスピースの使用状況、矯正歯科治療には患者さんの協力が必要であり、それらが治療結果や治療期間に影響します混合歯列期のため何度か印象採得する可能性があります。

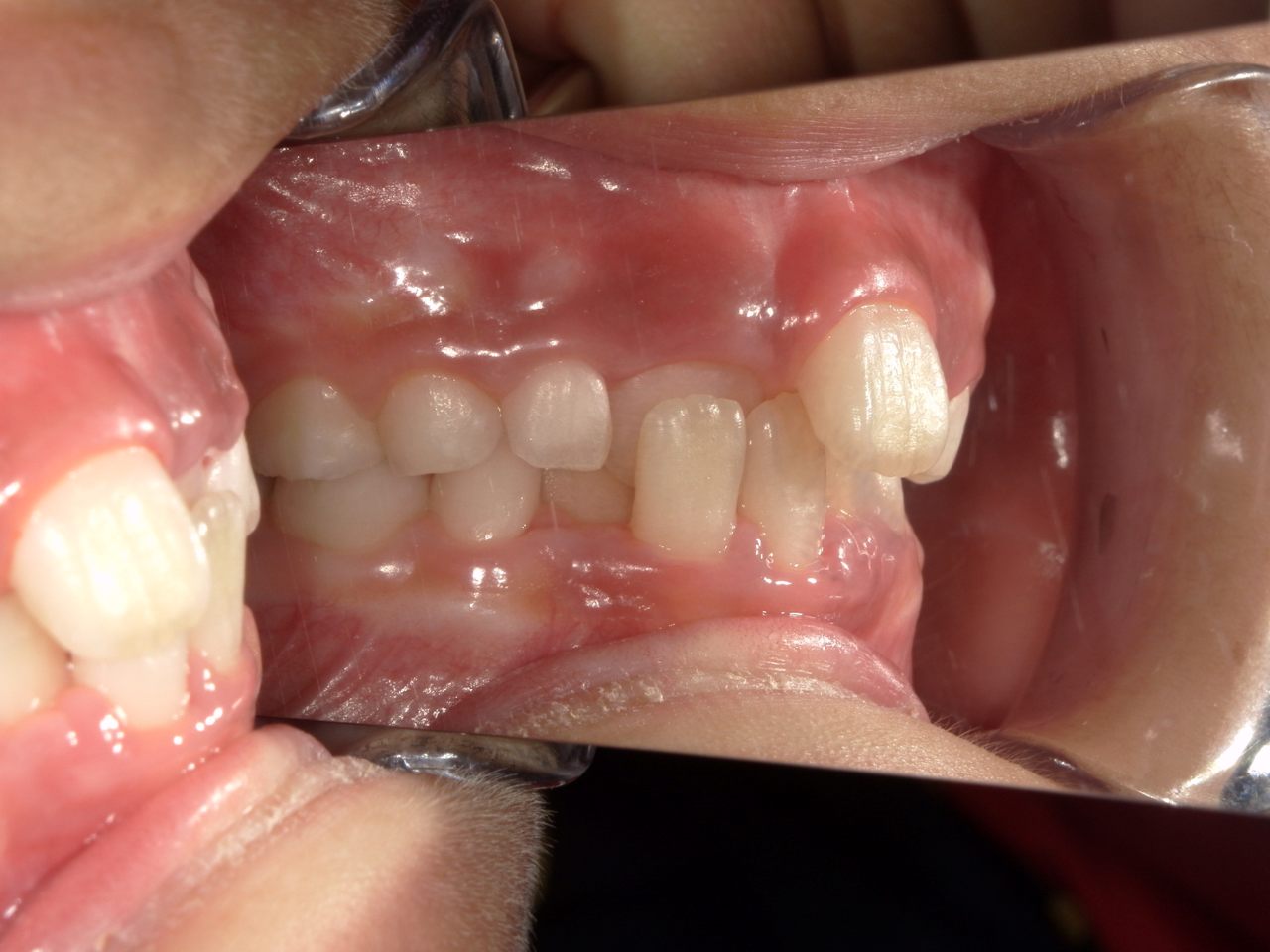
治療前

治療説明 歯科矯正でも目立ちにくい矯正方法であるマウスピース矯正で治療しました 
 
治療期間 2年6か月
 
治療費用350000 円
 
 
 

治療後

治療の副作用(リスク)歯の動き方には個人差があり、予想された治療期間が延長する可能性があります。。マウスピースの使用状況、矯正歯科治療には患者さんの協力が必要であり、それらが治療結果や治療期間に影響します混合歯列期のため何度か印象採得する可能性があります

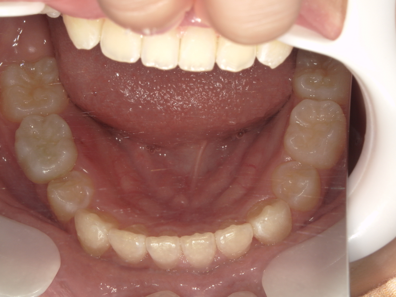
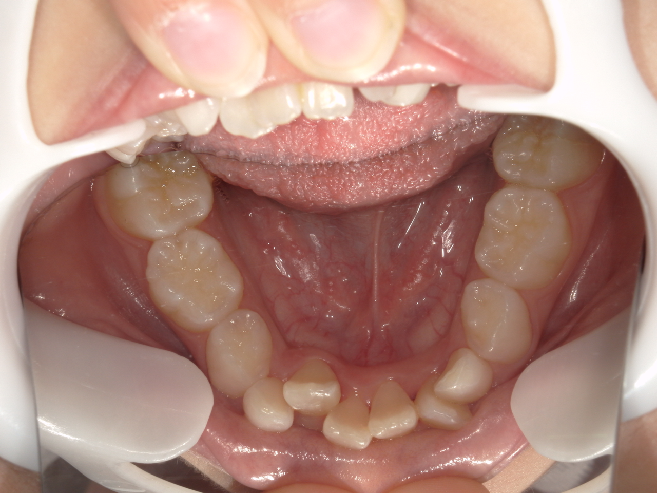
治療前

治療説明 歯科矯正でも目立ちにくい矯正方法であるマウスピース矯正で治療しました 
 
治療期間 1年1か月
 
治療費用350000 円
 
 
 

治療後

治療の副作用(リスク)歯の動き方には個人差があり、予想された治療期間が延長する可能性があります。。マウスピースの使用状況、矯正歯科治療には患者さんの協力が必要であり、それらが治療結果や治療期間に影響します混合歯列期のため何度か印象採得する可能性があります

治療名:インビザラインファースト
治療の説明:マウスピースを使用して、顎を広げることにより歯が生えるスペースを作ったり同時に歯並びを整える治療。
治療のリスクや副作用:歯の動き方には個人差があり、予想された治療期間が延長する可能性があります。。マウスピースの使用状況、矯正歯科治療には患者さんの協力が必要であり、それらが治療結果や治療期間に影響します。混合歯列期のため何度か印象採得する可能性があります
治療の価格:約350,000円程度(税込)

料金表

マウスピース矯正(インビザライン等の可撤式矯正) 自由診療税込み198,000円~498,000円
永久歯列矯正
(成人矯正・2次矯正・中学生以降の矯正)
自由診療税込み198,000円~498,000円
小児矯正 自由診療税込み50,000円~350,000円
治療期間・回数 口腔内の状況や治療内容により異なります

                      矯正治療のリスク・副作用

歯の動き方には個人差があり、予想された治療期間が延長する可能性があります。

 

定期的な通院など、矯正歯科治療には患者さんの協力が必要であり、それらが治療結果や治療期間に影響します。

治療の経過によっては当初予定していた治療計画を変更する可能性があります。

保定装置の装着時間が十分確保できない場合、歯並びや、咬み合せの「後戻り」が生じる可能性があります。

マウスピース型矯正装置「製品名 インビザライン 完成物薬機法対象外」についての薬機法に関する説明

「インビザライン」という製品名のマウスピース矯正装置は、薬機法に定められる「医療機器および歯科技工士法上の矯正装置」、歯科技工士法での「矯正装置」ではありません。医薬品副作用被害救済制度の対象とならない可能性があります。

インビザラインのサポートソフトであるクリンチェックおよび光学スキャンに用いている口腔内スキャン装置iTero Elementは薬機法上の承認を得ています。

インビザライン・ジャパン株式会社より入手・利用しています。

マウスピース型矯正装置のメーカーは国内外に多数あります。「インビザライン」とは異なり薬機法の承認を得ている矯正装置があります。

歯科矯正が潜在的に持つリスク以外で「インビザライン」固有の重大な副作用の報告は受けておりません。薬機法(医薬品医療機器等法)においてまだ承認されていない医療機器となりますが、当院ではその有効性を認め、導入しています。