三重県桑名市・四日市市で矯正をするなら歌う歯医者の「はらだ先生」にご相談を!

〒511-0863 三重県桑名市新西方7丁目22番地
イオンタウン桑名新西方ショッピングセンター敷地内

診療時間
9:00~13:30 × × ×

15:00~18:00

× ×

(月・火・木)9:00〜13:30 /15 :00〜18:00

(金)14:30〜18:00

(土)9:00〜13:00/15:00〜18:00

休診日:水曜・日曜・祝日

ご予約・お問合せはこちら

0594-27-5454

こどもの矯正(小児矯正)

小児矯正は、治療を行う時期によって二種類に分けられます。一つが、骨の成長期を利用し、あごの骨のバランスや大きさなど、骨格を整えていく「1期治療」。もう一つが、永久歯が生えそろってから歯の位置を整えていく「2期治療」です。

治療に用いる装置や治療方法は、お子さまの歯並びや年齢などにより変化します。1期治療は、永久歯が生えそろう6歳~10歳くらいまでに行うことをおススメしています。

小児矯正の治療プランは10種類以上。
お子さまに合わせた方法をご提案します

当院では、お子さまの矯正方法について、10種類以上の豊富なプランをご用意。特殊な技術を持つ、限られた歯科医師にしかご提供ができない治療方法もございます。

お口の状態や、お子さまご本人、親御さまのご希望に合わせて、適切な方法をご提案いたします。じっくりご相談の上、どの治療にするかを決めていきましょう。お子さまの歯並びが気になるという親御さまは、ぜひ一度、当院の無料相談にお越しください。

成長期の力を利用した無理のない矯正治療

お子さまの矯正治療は、矯正装置によって「歯を動かす力」と、あごの骨が育つ「成長期の力」を利用します。あごの骨の発達を正常に導くことで、永久歯がきれいに並ぶための場所をスムーズに確保。早めに治療を始めることで、お子さまのお体はもちろん、治療の費用負担も軽くできるでしょう。

取り外し可能な装置での治療も可能です

当院では「金属の矯正装置をしっかりと取りつける」という治療よりも、装置の取り外しが自分でできて、なるべくストレスなく、学校生活でも支障なく治療を続けられる矯正方法をおススメしています。お子さまの大切な歯をできるだけ抜かず、きれいな歯並びへと導いていきたいと考えています。

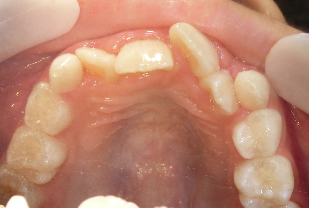
床矯正(しょうきょうせい)

当院が力を注いでいる小児矯正の治療方法の一つです。当院での症例数も多く、たくさんのお子さまの歯並びをきれいにしてきました。安心しておまかせください。

床矯正(しょうきょうせい)は、お口の中に専用のプレート(入れ歯のような形のもの)を取りつけて行う治療。あごを広げ、歯がきれいに並ぶために必要となるスペースを十分に確保し、正常な位置へ歯を動かしていきます。これなら健康な歯を抜かずに、矯正することが可能です。装着時間は、寝るときと家にいる数時間でいいので、学校に持っていく必要はありません。

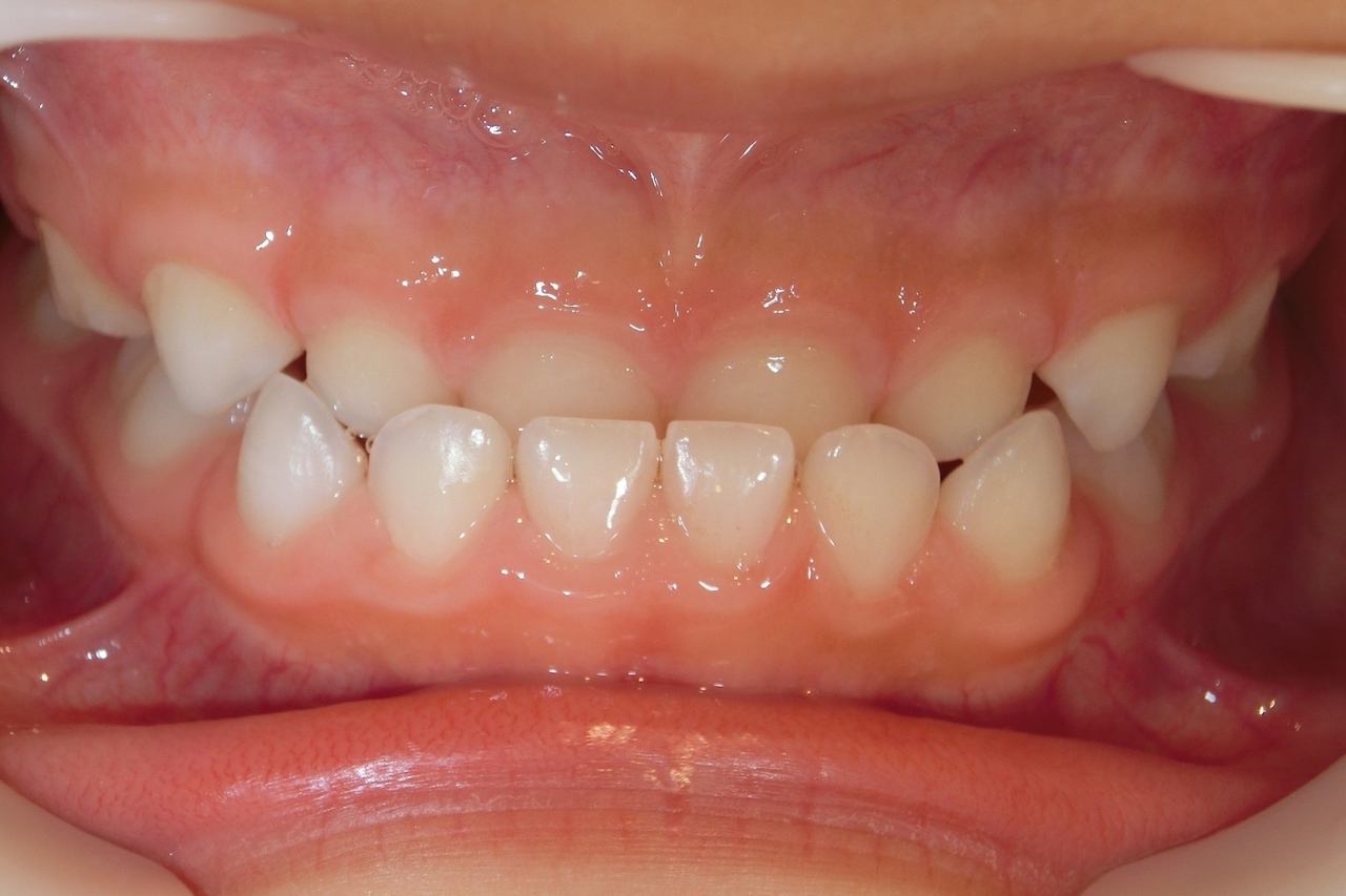
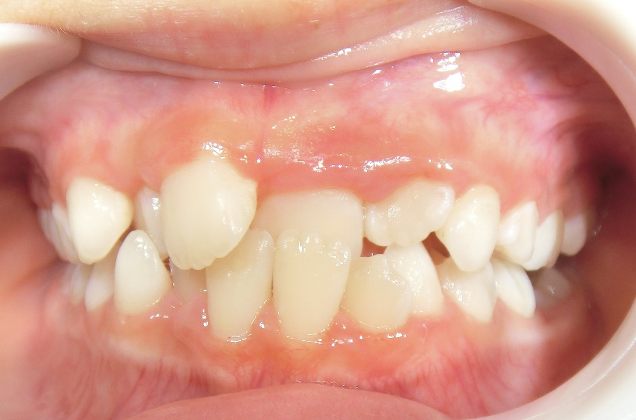
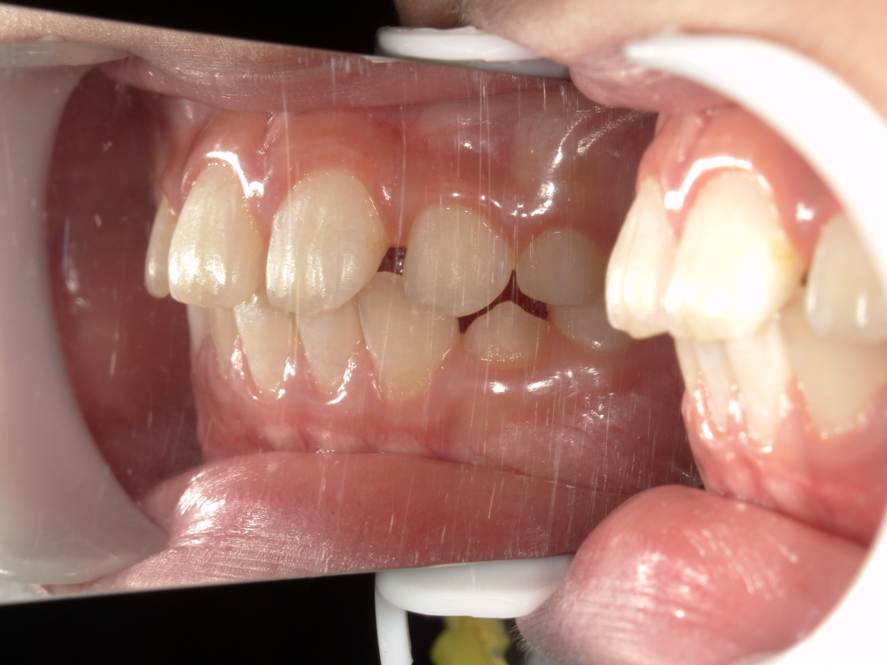
治療前

治療説明 歯科矯正で取り外し可能な矯正方法である床矯正で治療しました 
 
治療期間 4年
 
治療費用200000 円
 
 
 

治療後

治療の副作用(リスク)歯の動き方には個人差があり、予想された治療期間が延長する可能性があります。。床矯正の使用状況、矯正歯科治療には患者さんの協力が必要であり、それらが治療結果や治療期間に影響します2次矯正が必要になる場合もあります。

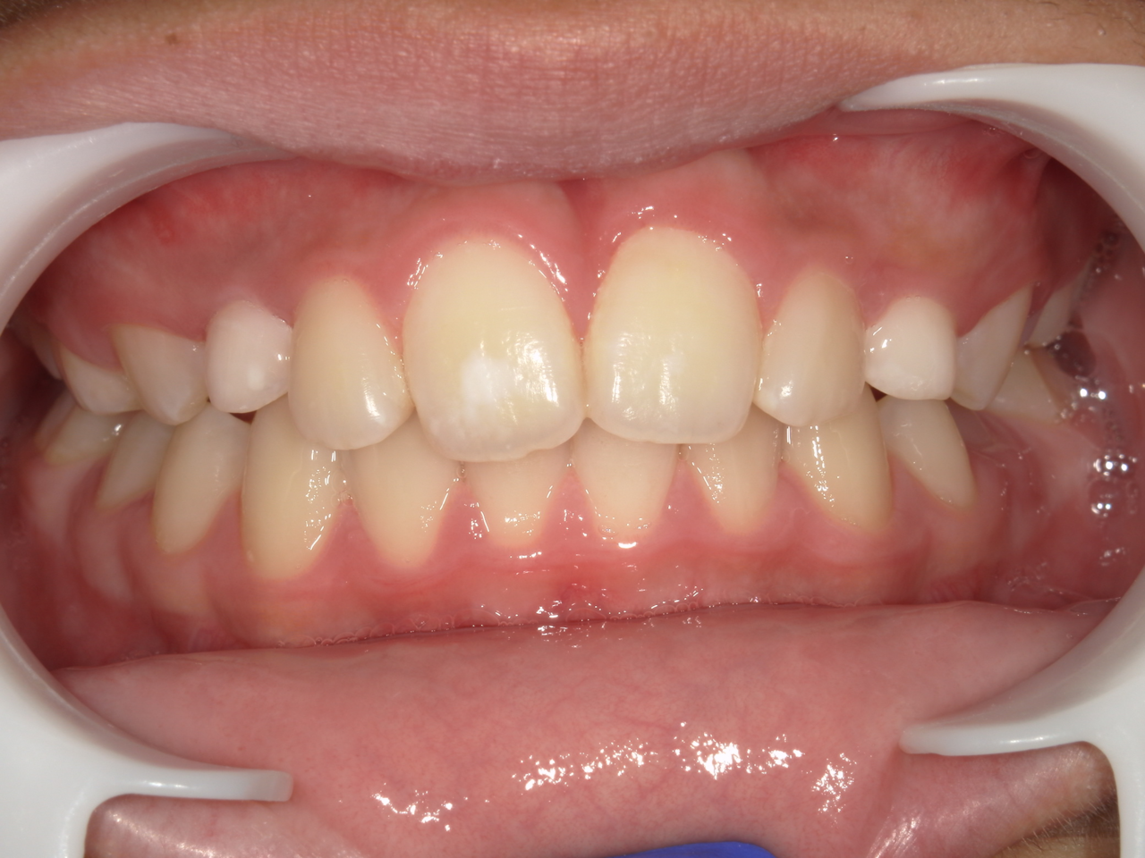
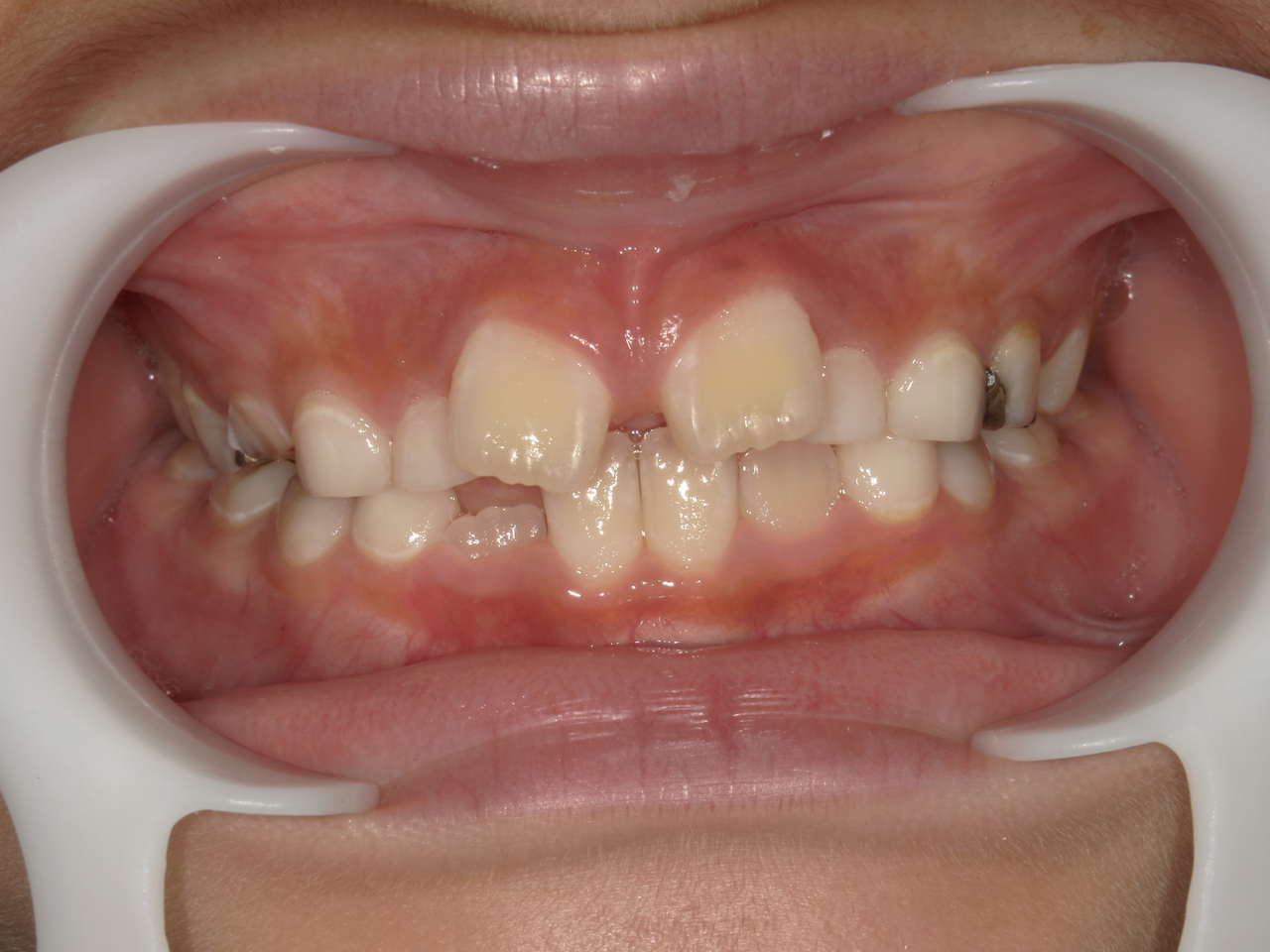
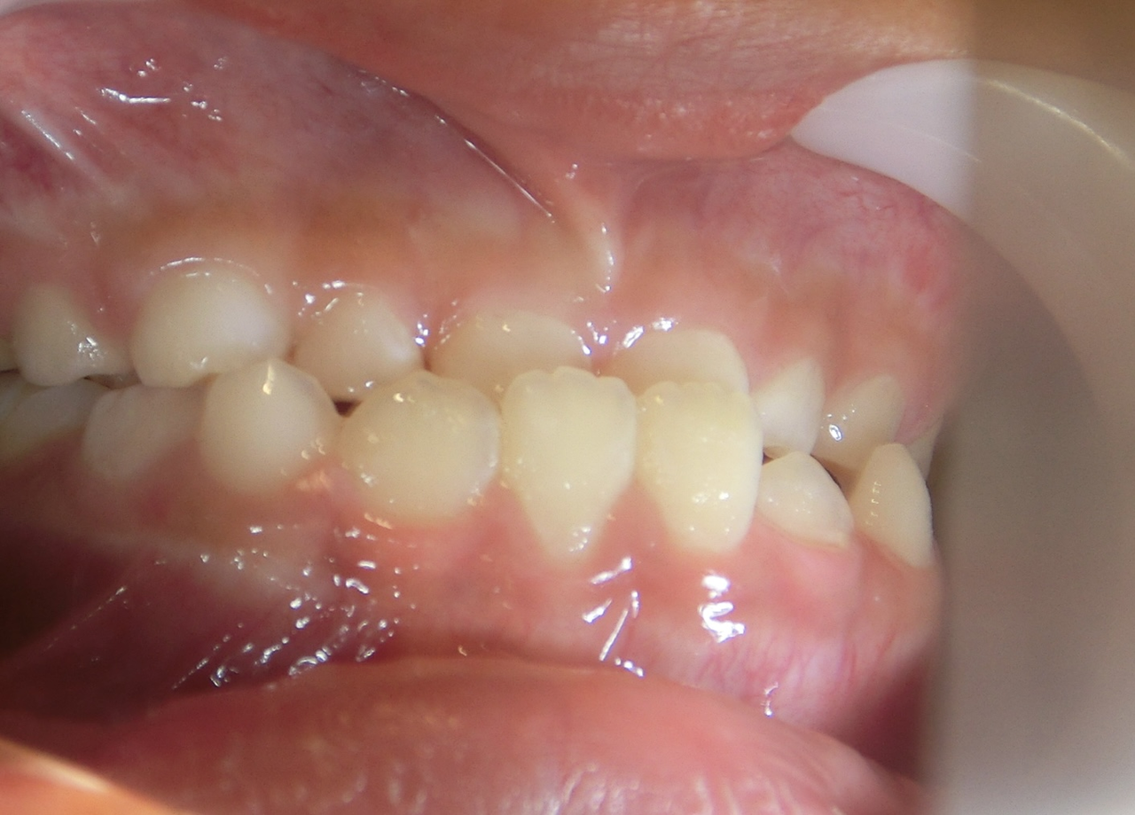
治療前

 治療説明 歯科矯正で取り外し可能な矯正方法である床矯正で治療しました 
 
治療期間 4年
 
治療費用200000 円
 
 
 

治療後

治療の副作用(リスク)歯の動き方には個人差があり、予想された治療期間が延長する可能性があります。。床矯正の使用状況、矯正歯科治療には患者さんの協力が必要であり、それらが治療結果や治療期間に影響します。2次矯正が必要になる場合もあります。

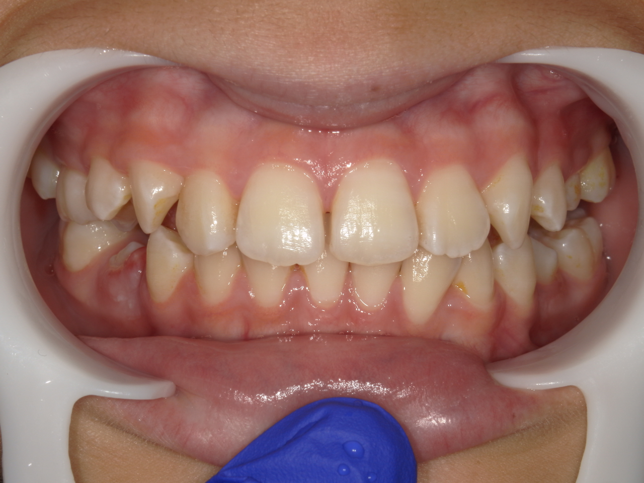
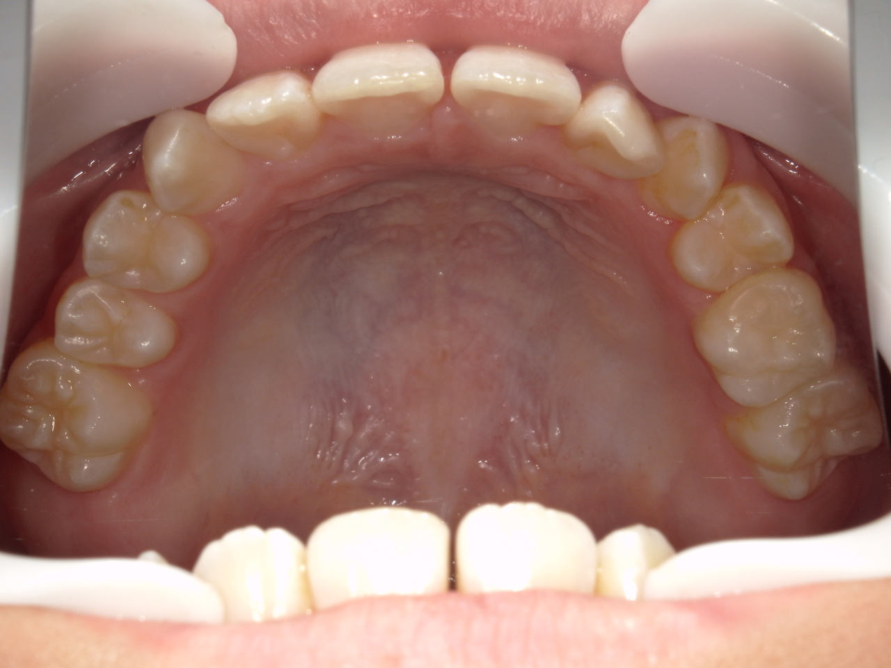
治療前

治療説明 歯科矯正で取り外し可能な矯正方法である床矯正で治療しました 
治療期間 2年1か月
 
治療費200000 円
 
 
 

治療後

治療の副作用(リスク)歯の動き方には個人差があり、予想された治療期間が延長する可能性があります。。床矯正の使用状況、矯正歯科治療には患者さんの協力が必要であり、それらが治療結果や治療期間に影響します。2次矯正が必要になる場合もあります。

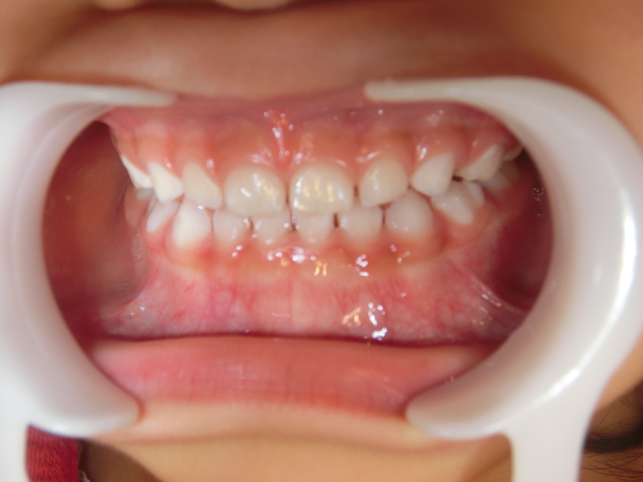
治療前

治療説明
歯科矯正で取り外し可能な矯正方法である床矯正とチンキャップで治療しました 
治療期間 4年6か月
 
治療費用300000 円
 
 
 

治療後

治療の副作用(リスク)歯の動き方には個人差があり、予想された治療期間が延長する可能性があります。。床矯正の使用状況、矯正歯科治療には患者さんの協力が必要であり、それらが治療結果や治療期間に影響します。2次矯正が必要になる場合もあります。

お子さまの歯並びが気になるときは、ぜひ無料相談へ

お口がいつも開いている状態
お口ぽかんに注意!
 

当院では、お子さまが歯並びのせいで困ったり、苦しい思いをししないで済むよう、小児矯正に真剣に取り組んでいます。

歯並びが悪いと、歯磨きで歯の汚れを落とすことが難しくなり、虫歯や歯周病などのさまざまなトラブルに見舞われやすくなります。特にお子さまの場合、一度そうなってしまうと、歯だけでなくあごの骨の発育にまで影響が及ぶことも。噛み合わせはもちろん、滑舌や顔の形にまで悪影響が及んでしまうことも珍しくありません。

また、「気づくとお口がぽかんと開いてしまっている」というお子さまの癖を気にしている方はいませんか。これは、唇を閉じる力が弱いために引き起こされる状態です。この癖も歯並びを悪くする原因に。当院では「りっぷるくん」という機器で簡単にお口を閉じる力を測定できます。その結果に合わせて改善方法などアドバイスもしています。

「永久歯がきれいに生えてこない」「この子の歯並びは大丈夫?」など、気になることがありましたら、些細なことでも構いませんので、お気軽に無料相談へお越しください。

当院の小児矯正の種類

矯正治療の方法には、それぞれに注目すべき特徴やメリットがあります。小児矯正治療の種類をここまで豊富に揃えて提供している歯科医院は全国的にみても、なかなかありません。現在の歯の状態に合わせ、患者さまにとって最も良いと考えられる方法を選びましょう。私たちが全力でサポートします。

床矯正(しょうきょうせい)

当院が力を注いでいる小児矯正の治療方法の一つです。当院での症例数も多く、たくさんのお子さまの歯並びをきれいにしてきました。安心しておまかせください。

床矯正(しょうきょうせい)は、お口の中に専用のプレート(入れ歯のような形のもの)を取りつけて行う治療。あごを広げ、歯がきれいに並ぶために必要となるスペースを十分に確保し、正常な位置へ歯を動かしていきます。これなら健康な歯を抜かずに、矯正することが可能です。装着時間は、寝るときと家にいる数時間でいいので、学校に持っていく必要はありません。

ムーシールド

ムーシールドは主に受け口(反対咬合)を改善する矯正装置です。正常なあごの骨の発育や正しい永久歯の生え変わりを助けます。また、舌を正しい位置へ自動的に動かし、歯並びも健康な状態へと導きます。基本的には、寝ているときと日中数時間だけ装着します。

矯正前
反対咬合といわれる下あごが出て受け口の状態

矯正後
正常な噛み合わせに治り、見た目も良くなりました

治療説明  就寝中に装置をはめます。 

治療期間 9か月

治療費用50,000 円

治療の副作用(リスク)歯の動き方には個人差があり、予想された治療期間が延長する可能性があります。矯正歯科治療には患者さんの協力が必要であり、それらが治療結果や治療期間に影響します。

矯正前
反対咬合といわれる下あごが出て受け口の状態

矯正後
正常な噛み合わせに治り、見た目も良くなりました

治療説明  就寝中に装置をはめます。 

治療期間1年 1か月

治療費用50,000 円

治療の副作用(リスク)歯の動き方には個人差があり、予想された治療期間が延長する可能性があります。矯正歯科治療には患者さんの協力が必要であり、それらが治療結果や治療期間に影響します。

矯正前
反対咬合といわれる下あごが出て受け口の状態

矯正後
正常な噛み合わせに治り、見た目も良くなりました

治療説明  就寝中に装置をはめます。 

治療期間 1か月

治療費用50,000 円

治療の副作用(リスク)歯の動き方には個人差があり、予想された治療期間が延長する可能性があります。矯正歯科治療には患者さんの協力が必要であり、それらが治療結果や治療期間に影響します。

プレオルソ

ポリウレタンのやわらかい素材のマウスピース型の装置。お口に入れておくだけで歯ならびが改善します。

お口の中の状態によって調整がしやすく、装着感も良いです。型取りが必要ないため、型取りが苦手なお子さまにも向いています。装着時間も寝るときと家にいる時でいいので、学校に持っていく必要もありません。

ビムラー矯正

ドイツで開発された取り外し可能な矯正装置です。お子さまの成長に合わせて、正しい位置へ歯を動かすだけでなく、あごの発育も促し、噛む力も強くすることができます。基本的には、寝ているときと日中数時間だけ装着します。

ビムラー矯正は、治療に関するより詳しい知識と技術がなければ行えません。全国でも提供している歯科医院の少ない治療です。

T4K(trainer for kids)

T4Kは、お口の筋力を改善するものです。間違った舌位置や口呼吸、舌の突き出しのような異常な癖を放置すると、正常な歯並びの妨げになるだけでなく、あごや顔の発育の妨げにもなります。寝ているときと、日中1時間以上の装着を目安とし、筋力のトレーニングで正しい発育を促します。

拡大装置

あごの横幅を適切な大きさに改善する装置です。口呼吸改善にも効果的です。

マイオブレース

歯を抜かずに、マイオブレースと呼ばれる装置をはめて矯正します。同時に毎日のトレーニングを行うことが重要です。歯並び・かみ合わせを悪くした癖を治します。上下の口が閉じて正しく鼻呼吸が出来ている状態を目指します。その結果、歯並びが整います。

キレイラインKIDS(筋機能矯正装置)

キレイラインKIDSとは?

 

「キレイラインKIDS」は、お子さまの成長期に合わせて歯並びを整えるためのマウスピース矯正システムです。

就寝中を中心に装着しお子さまの生活スタイルに合わせた治療が可能です。

治療前

治療説明 歯科矯正で取り外し可能な矯正方法であるキレイラインKIDSで治療しました 
 
治療期間 2年2ヶ月
 
治療費用165000 円
 
 
 

治療後

治療の副作用(リスク)歯の動き方には個人差があり、予想された治療期間が延長する可能性があります。矯正歯科治療には患者さんの協力が必要であり、それらが治療結果や治療期間に影響します。

治療前

治療説明 歯科矯正で取り外し可能な矯正方法であるキレイラインKIDSで治療しました 
 
治療期間 11ヶ月
 
治療費用165000 円
 
 
 

治療後

治療の副作用(リスク)歯の動き方には個人差があり、予想された治療期間が延長する可能性があります。矯正歯科治療には患者さんの協力が必要であり、それらが治療結果や治療期間に影響します。

マウスピース矯正(インビザラインティーン)

約2週間ごとにマウスピースを新しいものに交換しながら矯正を進めていきます。

周囲の人に気づかれずらいので思春期のお子さまにも向いています。取り外し可能で、食事や歯磨きの際に支障なく利用できます。

ワイヤー矯正(表側矯正)

歯の表側に矯正装置をつけて行う治療です。主に金属の装置を用いますが、目立たない素材で作られた装置のご用意もできます。

慣れるまでは食事や歯磨きがしづらく、しゃべりにくさを感じます。

デーモンシステム

アメリカで開発された矯正方法です。通常のワイヤー矯正よりも精密な器具で、治療期間が短い、通院回数や痛み、抜歯の可能性が少ないといったメリットがあります。

部分矯正

「前歯の歯並びだけを治したい」など、全体ではなく部分的な矯正をお考えの方にご提案している治療方法です。歯並びの乱れが軽い場合に行うことができます。

矯正治療をご検討中の方へ

マウスピースを使った矯正「インビザライン」他をご提供。適切な診断と綿密な治療計画で、きれいな歯並びに導きます

歯を抜かず、取り外し可能な装置で矯正を続けられるように配慮。豊富なプランの中から、最適な治療をご提案します。

当院の矯正治療について、ご来院から治療までの主な流れをご説明いたします。

院長の経歴や、患者さまへの思いなどをご紹介します。

精密な診断と治療をご提供するための設備をご用意。キッズスペースもあります。

治療を頑張ったらガチャガチャのプレゼント!
キッズスペースやオムツ交換台などの設備も充実

お子さまの治療後にはガチャガチャのプレゼント、キッズスペースには絵本やおもちゃをご用意しています。また、お手洗いのスペースを広く設け、オムツ交換台を備えるなど、小さなお子さまと一緒でも過ごしやすい空間をご用意しています。

院長は、音楽でお口の健康の大切さを伝える取り組みを行い、歌やギターで治療の応援をすることも。楽しく歯医者さんに通って、ぜひきれいな歯並びと健康な噛み合わせを手に入れてください。

ガチャガチャは
たくさんの種類から選べます

キッズスペースには
オモチャや絵本を置いています

お手洗いはオムツ交換台もある
広いスペースです

料金表

マウスピース矯正(インビザライン等の可撤式矯正) 自由診療税込み198,000円~498,000円
永久歯列矯正
(成人矯正・2次矯正・中学生以降の矯正)
自由診療税込み198,000円~498,000円
小児矯正 自由診療税込み50,000円~350,000円
治療期間・回数 口腔内の状況や治療内容により異なります

                      矯正治療のリスク・副作用

歯の動き方には個人差があり、予想された治療期間が延長する可能性があります。

 

定期的な通院など、矯正歯科治療には患者さんの協力が必要であり、それらが治療結果や治療期間に影響します。

治療の経過によっては当初予定していた治療計画を変更する可能性があります。

保定装置の装着時間が十分確保できない場合、歯並びや、咬み合せの「後戻り」が生じる可能性があります。

マウスピース型矯正装置「製品名 インビザライン 完成物薬機法対象外」についての薬機法に関する説明

「インビザライン」という製品名のマウスピース矯正装置は、薬機法に定められる「医療機器および歯科技工士法上の矯正装置」、歯科技工士法での「矯正装置」ではありません。医薬品副作用被害救済制度の対象とならない可能性があります。

インビザラインのサポートソフトであるクリンチェックおよび光学スキャンに用いている口腔内スキャン装置iTero Elementは薬機法上の承認を得ています。

インビザライン・ジャパン株式会社より入手・利用しています。

マウスピース型矯正装置のメーカーは国内外に多数あります。「インビザライン」とは異なり薬機法の承認を得ている矯正装置があります。

歯科矯正が潜在的に持つリスク以外で「インビザライン」固有の重大な副作用の報告は受けておりません。薬機法(医薬品医療機器等法)においてまだ承認されていない医療機器となりますが、当院ではその有効性を認め、導入しています。