三重県桑名市・四日市市で矯正をするなら歌う歯医者の「はらだ先生」にご相談を!

〒511-0863 三重県桑名市新西方7丁目22番地
イオンタウン桑名新西方ショッピングセンター敷地内

診療時間
9:00~13:30 × × ×

15:00~18:00

× ×

(月・火・木)9:00〜13:30 /15 :00〜18:00

(金)14:30〜18:00

(土)9:00〜13:00/15:00〜18:00

休診日:水曜・日曜・祝日

ご予約・お問合せはこちら

0594-27-5454

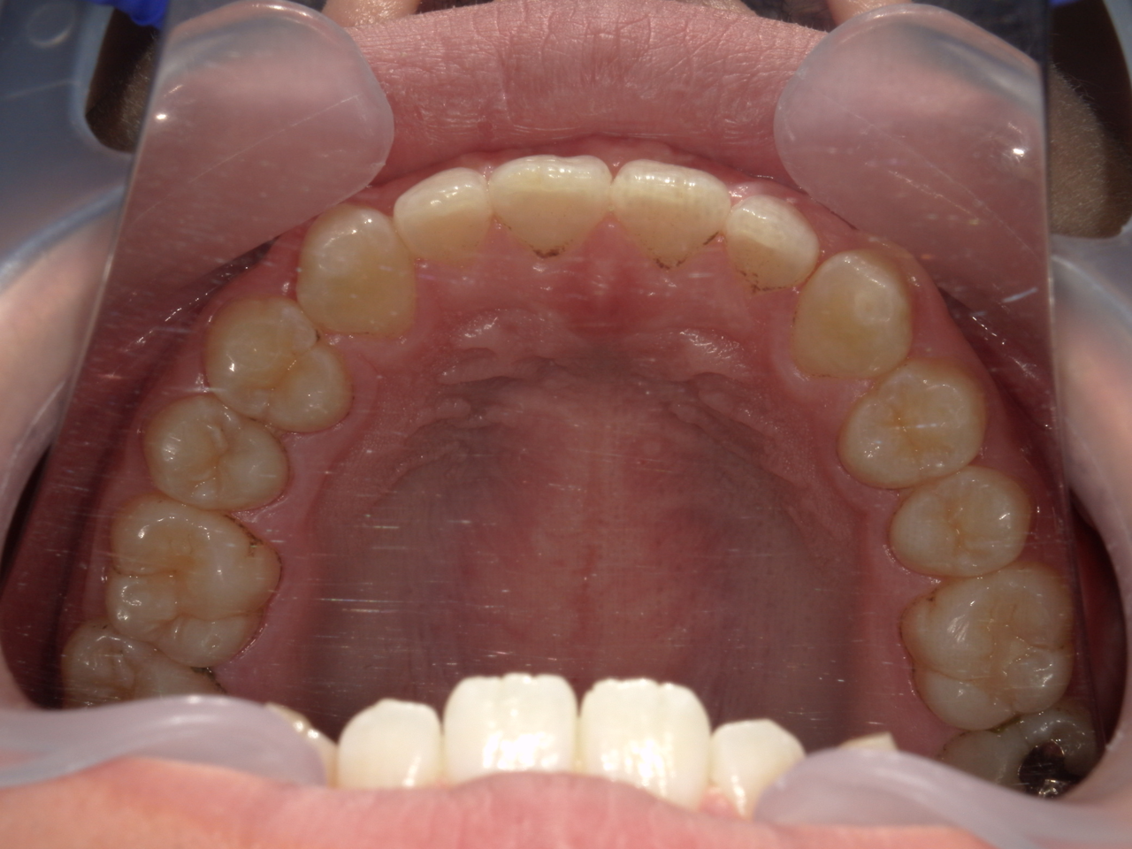
全体がすきっ歯(空隙歯列)の矯正

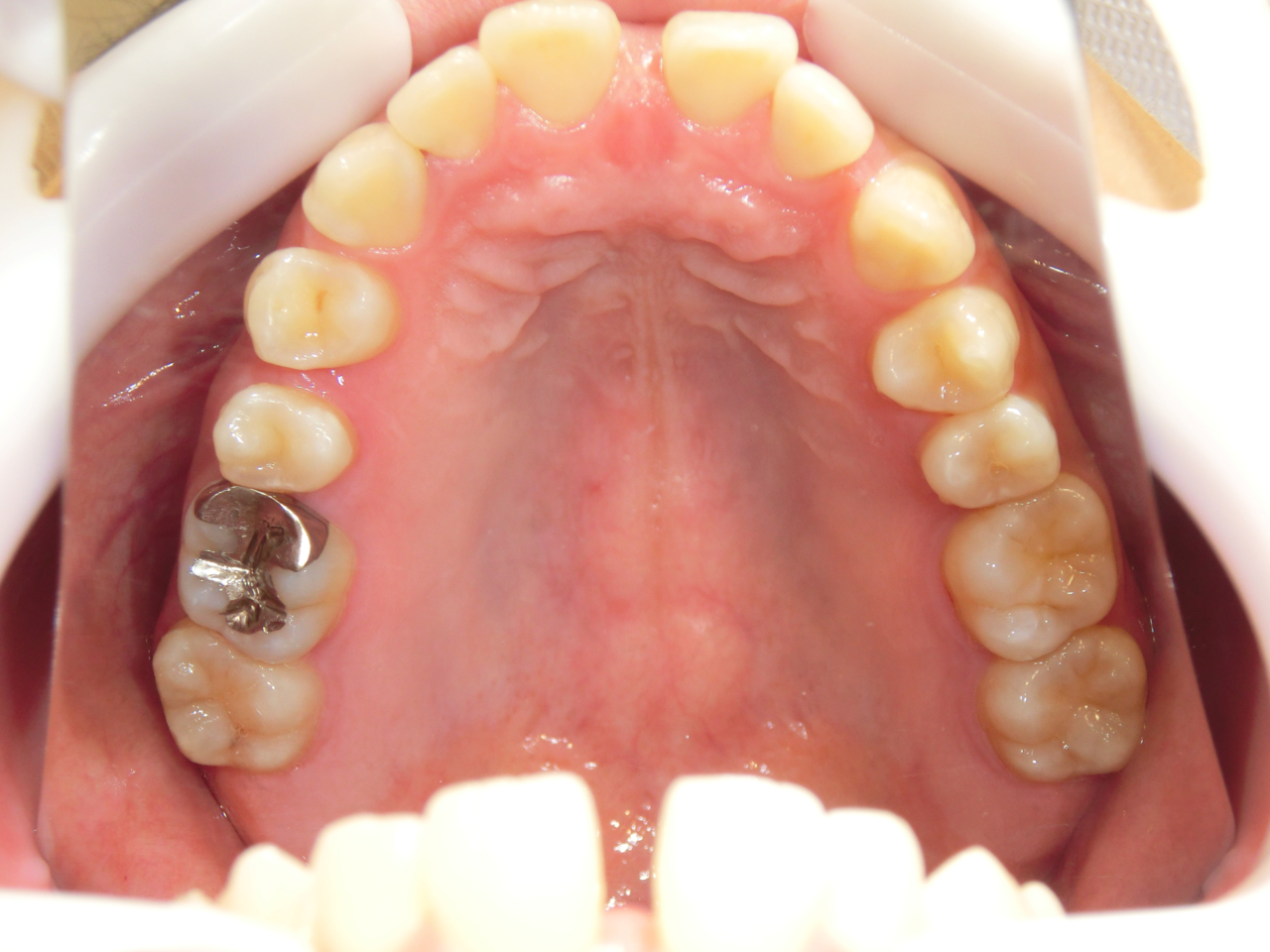
治療前

治療説明 歯科矯正でも目立ちにくい矯正方法であるマウスピース矯正で治療しました 
 
治療期間 1年8か月
 
治療費用49,8000 円
 
 
 

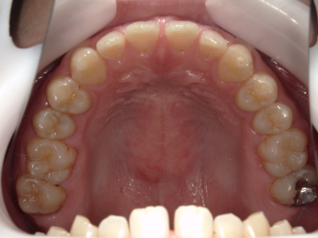
治療後

治療の副作用(リスク)歯の動き方には個人差があり、予想された治療期間が延長する可能性があります。。マウスピースの使用状況、矯正歯科治療には患者さんの協力が必要であり、それらが治療結果や治療期間に影響します

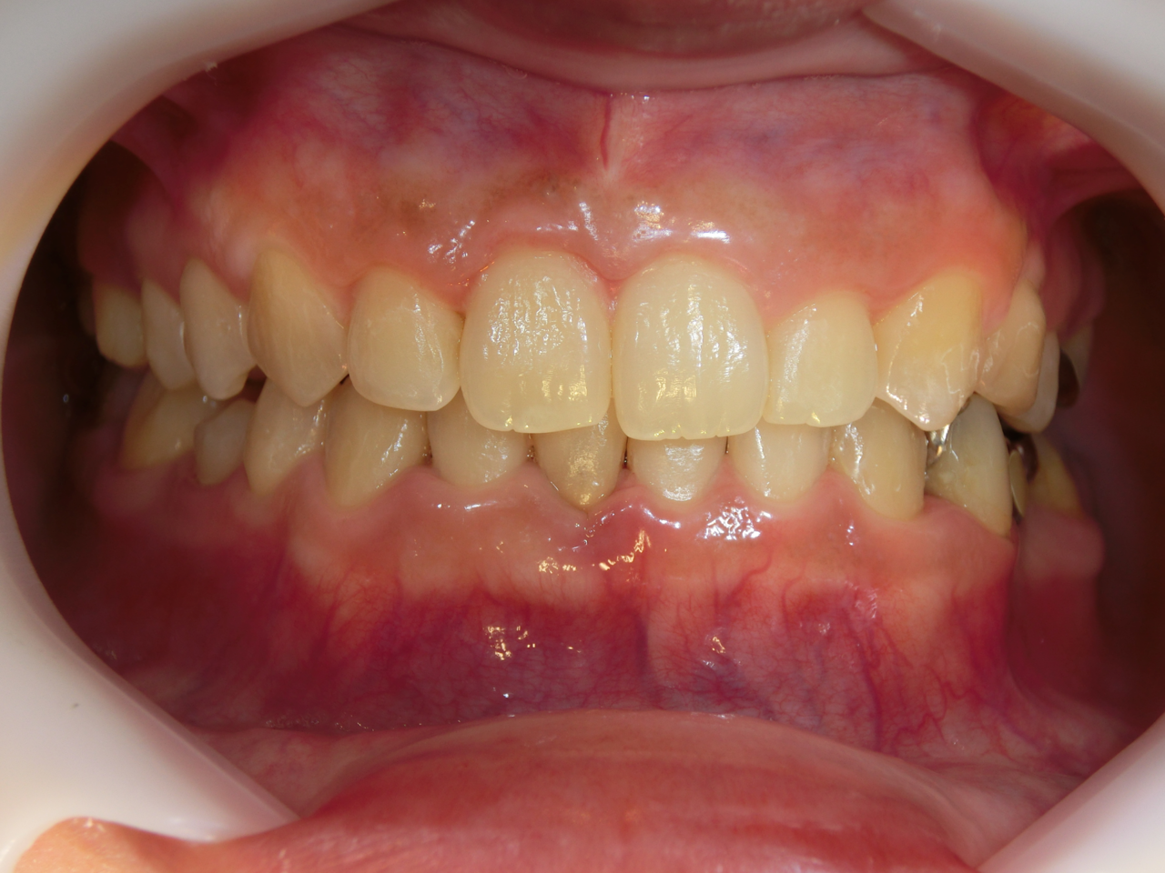
治療前

治療説明 歯科矯正でも目立ちにくい矯正方法であるマウスピース矯正で治療しました 
 
治療期間 9か月
 
治療費用31,9000 円
 
 
 

治療後

治療の副作用(リスク)歯の動き方には個人差があり、予想された治療期間が延長する可能性があります。。マウスピースの使用状況、矯正歯科治療には患者さんの協力が必要であり、それらが治療結果や治療期間に影響します

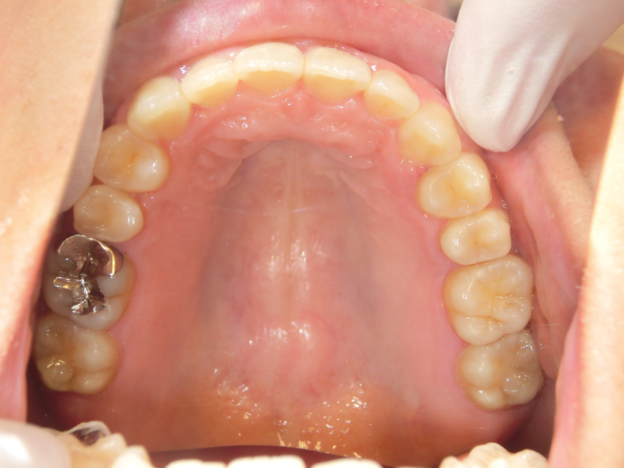
治療前

治療説明 歯科矯正でも目立ちにくい矯正方法であるマウスピース矯正で治療しました 
 
治療期間 1年8か月
 
治療費用49,8000 円
 
 
 

治療後

治療の副作用(リスク)歯の動き方には個人差があり、予想された治療期間が延長する可能性があります。。マウスピースの使用状況、矯正歯科治療には患者さんの協力が必要であり、それらが治療結果や治療期間に影響します

空隙歯列(すきっ歯)の矯正治療
 
歯と歯のあいだにすき間がある状態を「空隙歯列(くうげきしれつ)」といいます。
いわゆる「すきっ歯」と呼ばれるもので、見た目の印象だけでなく、発音やかみ合わせに影響することもあります。
原因やすき間の大きさによって、治療方法はさまざまです。
 
空隙歯列の主な原因
 
歯の大きさが小さい、またはあごが大きい
 
上唇の裏側にある「上唇小帯」が太く、前歯の間に入り込んでいる
 
舌を前に押し出す癖や、指しゃぶりの影響
 
永久歯の本数が少ない(先天性欠如歯)
 
矯正治療の方法
 
空隙歯列は、矯正治療で歯の位置を少しずつ動かし、自然にすき間を閉じていきます。
近年では、目立たず快適に治療できるマウスピース矯正が選ばれることが多くなっています。
 
マウスピース矯正
 
透明で取り外しができる装置を使い、歯を少しずつ動かしてすき間を閉じます。
装置が目立たず、食事や歯みがきも普段どおりにできます。
 
 
ワイヤー矯正
 
ワイヤーを使って複雑な歯の移動が必要な場合にも対応できます。
細かい歯の位置調整やかみ合わせの改善も可能です。
 
✨ 審美修復を併用する場合
 
すき間が小さい場合や歯の形が原因の場合は、
セラミック治療やレジン修復で見た目を整えることもあります。
 
桑名はらだ歯科クリニックでは
 
歯並びやすき間の原因を丁寧に診断し、
**「見た目・機能・負担の少なさ」**を考慮した最適な治療方法をご提案します。
透明マウスピース矯正による自然な仕上がりも可能です。
まずはお気軽にご相談ください。
 

料金表

マウスピース矯正(インビザライン等の可撤式矯正) 自由診療税込み198,000円~498,000円
永久歯列矯正
(成人矯正・2次矯正・中学生以降の矯正)
自由診療税込み198,000円~498,000円
小児矯正 自由診療税込み50,000円~350,000円
治療期間・回数 口腔内の状況や治療内容により異なります

                      矯正治療のリスク・副作用

歯の動き方には個人差があり、予想された治療期間が延長する可能性があります。

治療中は矯正歯科装置をつけるためハミガキを適切に行ってお口の中を常に清潔に保ち、さらに、かかりつけ歯科医に定期的に受診することが大切です。

マウスピースの使用状況、定期的な通院など、矯正歯科治療には患者さんの協力が必要であり、それらが治療結果や治療期間に影響します。

治療の経過によっては当初予定していた治療計画を変更する可能性があります。

保定装置の装着時間が十分確保できない場合、歯並びや、咬み合せの「後戻り」が生じる可能性があります。

マウスピース型矯正装置「製品名 インビザライン 完成物薬機法対象外」についての薬機法に関する説明

「インビザライン」という製品名のマウスピース矯正装置は、薬機法に定められる「医療機器および歯科技工士法上の矯正装置」、歯科技工士法での「矯正装置」ではありません。医薬品副作用被害救済制度の対象とならない可能性があります。

インビザラインのサポートソフトであるクリンチェックおよび光学スキャンに用いている口腔内スキャン装置iTero Elementは薬機法上の承認を得ています。

インビザライン・ジャパン株式会社より入手・利用しています。

マウスピース型矯正装置のメーカーは国内外に多数あります。「インビザライン」とは異なり薬機法の承認を得ている矯正装置があります。

歯科矯正が潜在的に持つリスク以外で「インビザライン」固有の重大な副作用の報告は受けておりません。薬機法(医薬品医療機器等法)においてまだ承認されていない医療機器となりますが、当院ではその有効性を認め、導入しています。

 

当院では矯正歯科治療でお悩みの方へ無料矯正相談を行っています。お電話かご予約フォームよりお気軽にご連絡ください。

0594-27-5454

診療時間

 
午前 × × ×
午後 × × ×

(月火木)9:00~13:30/15:00~
18:30
(金)13:00~17:30
(土)9:00~13:30/15:00~18:00

0594-27-5454

511-0863

三重県桑名市新西方7丁目22番地
(イオンタウン桑名新西方ショッピングセンター敷地内)